健康教育

您现在的位置: 首页 - 科室导航 - 口腔医学中心 - 健康教育

正畸居然要打钉子?“种植支抗” 的来龙去脉

不少人第一次听说正畸要“打钉子”,都会下意识紧张:矫正牙齿,怎么还要往骨头里钉东西?是不是很疼?其实这颗“钉子”有个专业名字——种植支抗,它不是打在牙齿上的,而是正畸医生手里的“隐形帮手”,能让牙齿移动更精准、更高效。

一、先搞懂:正畸为啥要“打钉子”?

想明白种植支抗的作用,得先知道正畸的力学基础——牙齿移动需要“力量”,也需要“支点”。比如想把前突的门牙往后拉,医生会用矫正器施加拉力,但如果没有稳定的“支点”,拉力可能会让后面的磨牙跟着往前移,反而达不到内收门牙的效果。

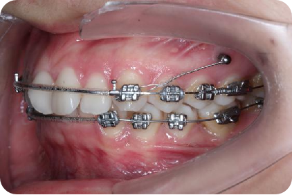
有的患者会问,内收前面的牙齿时,后牙齿不能支点吗?当然可以,但这种方式有局限:后牙向前跑,占用了前牙向后跑的空间。而种植支抗就是一个“人工支点”——它是一颗微小的钛合金或不锈钢钉子(直径1.5-4毫米,长度6-10毫米,比筷子尖还小),会被轻轻植入口腔内的牙槽骨里(比如后牙区、门牙区的骨头),牢牢“扎根”在骨头里,成为一个不动的“锚点”。

有了这个稳定的支点,医生就能精准控制牙齿移动方向:比如想让前牙往后收,拉力只会作用在前牙上,后面的磨牙不会跟着动;想让牙齿往侧面扩弓,也能避免其他牙齿“乱移位”。简单说,种植支抗能让正畸从“被动调整”变成“主动操控”,尤其是对牙齿移动要求高的情况,能大大提升矫正效果。

10-1.png

种植支抗辅助的正畸治疗

、打钉子疼不疼?过程其实很轻松

很多人害怕 “打钉子”,其实整个过程比想象中温和,甚至比拔牙还轻松,具体分为 3 步:

1. 术前:局部麻醉 + 简单消毒

医生会先检查并确认植入位置,然后在植入部位涂麻药、打局部麻醉针(针头很细,痛感类似蚊子叮)。麻醉生效后,口腔局部会失去知觉,不会有疼痛感。

2. 术中:5-10 分钟完成植入

医生会用专用的微创工具,轻轻将种植支抗拧入牙槽骨(有点像拧螺丝,力度很轻),整个过程只需要5-10分钟,不会有明显震动或疼痛感,可能只会感觉到轻微的“胀胀的”,但完全可以忍受。

3. 术后:轻微不适 1-3 天

术后麻醉消退后,植入部位可能会有轻微酸痛(类似拔牙后轻微不适),或者吃东西时碰到会有点疼,一般不需要吃止痛药,1-3 天就能缓解。

、植入种植支抗后,这 5 件事一定要注意

种植支抗虽然小巧,但术后护理很重要,否则可能会出现炎症或松动,影响正畸效果:

1. 术后 24 小时内:别刷牙、别用吸管

术后 24 小时内,植入部位的伤口还没愈合,不要用牙刷刷该区域(可以用漱口水轻轻漱口),也别用吸管喝东西(吸吮动作可能导致伤口出血),尽量吃温凉、细软的食物(比如粥、面条、酸奶),避免辛辣、过硬的食物(比如火锅、坚果)。

2. 日常清洁:重点清理 “钉子周围”

24 小时后,要像平时刷牙一样清洁口腔,但需要用软毛牙刷轻轻刷种植支抗周围,避免食物残渣堆积在钉子和牙龈之间(可以配合冲牙器,用低压模式冲洗,别直接对着钉子冲)。如果钉子周围有食物嵌塞,别用牙签硬挑,可以用牙线轻轻清理,或者下次复诊让医生帮忙清理。

3. 别用手摸、别咬硬物

平时不要用手去摸种植支抗(手上有细菌,容易导致感染),也别用植入部位的牙齿咬硬物(比如骨头、瓶盖),否则可能会让钉子松动或移位。如果感觉钉子有点晃,要及时告诉医生,不要自己处理。

4. 注意“炎症信号”,及时复诊

如果种植支抗周围出现红肿、疼痛加剧、流脓,或者钉子明显松动,可能是出现了炎症或感染,要立即联系医生复诊,医生会根据情况进行清洁、消炎,必要时会暂时取出钉子,待炎症消退后再重新植入。

5. 矫正结束后:钉子会“无痕取出”

等正畸治疗结束,不再需要种植支抗时,医生会用专用工具轻轻将钉子拧出来(过程和植入一样,局部麻醉后几分钟就能完成),因为钉子植入深度浅,取出后牙槽骨会慢慢愈合,不会留下伤口或疤痕,也不会影响后续口腔健康。