健康教育

您现在的位置: 首页 - 科室导航 - 口腔医学中心 - 健康教育

【科普】树脂VS瓷,牙齿贴面怎么选?

在现代口腔美学修复中,树脂贴面和瓷贴面是两种常见的牙齿修复方式,它们都能有效改善牙齿的外观,解决牙体缺损、变色、排列不齐等问题。然而,这两种材料在技术、美观性、耐用性、成本等方面存在显著差异。本文将详细介绍树脂贴面和瓷贴面的区别,帮助您更好地选择适合自己的牙齿修复方案。

树脂贴面

图片1.png

图1.树脂贴面常用材料--复合树脂

1. 什么是树脂贴面?

树脂贴面是一种通过在牙齿表面堆积复合树脂材料来修复牙齿外观的美容技术。

图片2.png

图2树脂贴面制作前后。树脂贴面可以改善牙齿颜色及形态,美学性能较好

2. 优点

操作简便:树脂贴面的制作过程相对简单,通常可以在一次就诊中完成,无需技工室制作。

费用较低:与瓷贴面相比,树脂贴面的价格更为亲民。

对牙齿损伤较小:树脂贴面较瓷贴面对牙齿的磨除量相对少,因此对牙齿的损伤较小。

牙齿磨除量:树脂贴面对牙齿的磨除量较少,因此在一定程度上是可逆的。如果患者对修复效果不满意,拆除树脂贴面后牙齿基本能恢复原形态。

3. 缺点

美观性有限:尽管树脂材料可以模拟牙齿的颜色和形态,且随着材料学的发展,树脂贴面的即时美学可与瓷贴面媲美,但总体而言美观性能仍不如瓷贴面。尤其是在长期使用后,树脂贴面老化可能会出现颜色变化、光泽度降低等问题。

耐用性较差:树脂材料的耐磨性和抗染色能力相对较弱,抗老化性能差,通常3-5年可能会出现变色,影响美观,届时可能需要维护或者更换。

修复范围有限:树脂贴面更适合修复小范围的牙齿缺损或轻度变色问题,对于严重的牙齿畸形或大面积缺损,可能无法达到理想的修复效果。

对牙龈的影响:树脂贴面修复边缘难以与牙齿密合,很容易出现悬突,增加着色及菌斑附着风险,可能刺激牙龈造成牙龈红肿

图片3.png

图3.戴用树脂贴面7年后,贴面老化变色磨损,树脂刺激造成牙龈红肿

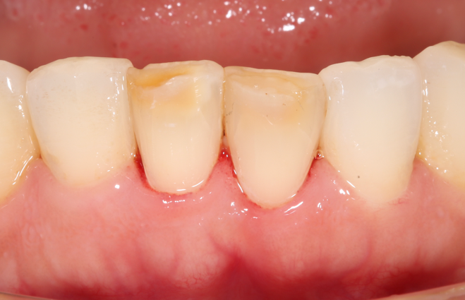
图片4.png

图4.树脂贴面的牙齿磨除量较小,拆除树脂贴面后,牙齿恢复原始形态


瓷贴面

图片5.png

图5.瓷贴面

1. 什么是瓷贴面?

瓷贴面是将薄薄的瓷片,通过粘结剂固定在牙齿表面,以改善牙齿的颜色及形态的修复方式。瓷贴面的制作需要专业的口腔技师在技工室完成,因此对技术和设备的要求较高。

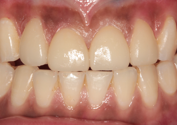
图片6.png

图片7.png

图6. 瓷贴面制作前后。瓷贴面能够高度还原天然牙齿的色泽和透明度。

2. 优点

高度美观:瓷贴面具有优异的光学性能,能够高度还原天然牙齿的色泽和透明度,是目前最接近天然牙齿的修复材料。

耐用性强:瓷贴面的耐磨性和抗染色能力非常强,且抗老化性能强,只要护理得当,瓷贴面可以长期保持良好的外观和功能。

生物相容性好:瓷贴面的材料对口腔组织无刺激性,适合长期使用。

对牙龈影响小:瓷贴面由于在技工室精密制作,边缘与牙体组织衔接良好,极少对牙龈有影响

3. 缺点

费用较高:瓷贴面的制作过程复杂,需要专业的设备和技术,因此价格相对较高。此外,瓷贴面需要多次就诊,增加了时间和经济成本。

牙齿磨除量较大:为了确保贴面的贴合度和美观性,瓷贴面修复对牙齿的磨除量比树脂贴面相对较大。因此,这种修复方式一般是不可逆的,一旦开始,就无法恢复到原始状态。

技术要求高:瓷贴面的安装需要专业的口腔医生进行操作,对医生的技术水平和经验要求较高。


树脂贴面与瓷贴面的对比

特性

树脂贴面

瓷贴面

美观性

较好,但长期效果不如瓷贴面

高度美观,接近天然牙齿

耐久性

较差

较好

就诊次数

一次

多次

费用

较低

较高

牙齿磨除量

少或基本不磨除

需要磨除部分牙齿,磨除量较树脂贴面大

对牙龈影响

大,易造成牙龈红肿

适用范围

轻度变色、小范围缺损等

严重变色、较大面积缺损、牙齿畸形等


总之,树脂贴面和瓷贴面各有优缺点,适合不同的口腔问题和需求。在选择修复方案时,建议您咨询专业的口腔医生,根据自身情况选择最适合的修复方式。对了,口腔科的专业非常多,贴面属于口腔修复学范畴,所以挂号专业要选择口腔修复科。好了,通过上述介绍,您知道应该怎么选择贴面类型了吗?