健康教育

您现在的位置: 首页 - 科室导航 - 口腔医学中心 - 健康教育

牙齿美白大揭秘 科学美白不踩坑

牙齿是人们展示自信笑容的重要部分。洁白的牙齿不仅能提升个人形象,还能给人留下良好的第一印象。然而,随着时间的推移,牙齿可能会因为饮食、生活习惯等因素而逐渐变黄或变色。牙齿美白技术应运而生,帮助人们恢复牙齿的自然光泽,重拾自信笑容。

千库网_带着洁白牙齿微笑的女人的特写_摄影图编号18859551.jpg

一、牙齿变色的原因

1. 外源性因素:饮食是导致牙齿变色的主要原因之一。例如,咖啡、茶、红酒、烟草等含有色素的物质会附着在牙齿表面,使牙齿逐渐变黄。此外,不良的口腔卫生习惯也会导致牙菌斑和牙结石的堆积,进一步加重牙齿的变色。

2. 内源性因素:一些药物(如四环素)、氟斑牙(长期饮用含氟量过高的水)、牙齿发育异常等也会导致牙齿变色。这些因素引起的变色通常位于牙齿内部,难以通过简单的清洁去除。

二、 根据不同牙齿变色原因选择美白方法

1.外源性因素的美白方法选择:通过使用美白牙膏、电动牙刷、洗牙、喷砂等方法去除牙齿表面的色素、牙石等物质。

(1)牙齿美白牙膏、电动牙刷

微信截图_20250328083710.png

原理:美白牙膏含有少量的摩擦剂和化学成分,通过物理摩擦和化学作用去除牙齿表面的污渍达到一定的美白效果。电动牙刷则是通过刷头高速旋转或振动,产生高频的机械运动,从而更高效地清除牙齿表面及牙缝中的牙菌斑、食物残渣及色素,比手动牙刷有着更强的清洁效果。

优点:使用方便,价格低廉,适合日常使用。

缺点:效果有限,主要针对外源性污渍。

适用人群:希望在日常生活中辅助美白牙齿的人群。

注意事项:选择含有氟化物的美白牙膏,既可以美白牙齿,又能预防龋齿。但不要期望过高,无法替代专业的牙齿美白技术。

(2)洗牙

微信截图_20250328083433.png

原理:洗牙是通过超声波的高频振动,将牙齿表面的牙菌斑、牙结石和色素振落,同时利用水流冲洗,达到清洁牙齿的效果。

优点:能有效去除牙结石和牙菌斑,预防牙周疾病,改善口腔卫生。

缺点:可能会引起牙齿敏感或轻微不适,尤其是牙龈炎较严重者。

适用人群:适合牙结石较多、有牙周疾病风险的人群,建议每半年到一年进行一次。

注意事项:洗牙后2周内避免冷热酸甜刺激,若牙齿敏感持续,可使用抗敏感牙膏。

(3) 喷砂

原理:喷砂是利用高压气流将特制的喷砂粉喷射到牙齿表面,通过物理摩擦去除牙菌斑、色素沉着。

优点:能深入牙缝和窝沟点隙,去除超声波难以清除的细小色素和污垢,清洁效果更彻底,且对牙齿表面损伤小。

缺点:可能会引起轻微不适,尤其是牙齿敏感者。

适用人群:适合长期吸烟、喝茶、喝咖啡导致牙齿色素沉着严重的人群.

注意事项:喷砂后短期内避免食用色素重的食物和饮料,如红酒、咖啡等.

图片1.png

牙齿表面色素沉着

2.内源性因素的美白方法选择:主要包括冷光美白、贴面等

(1)家用美白套装

原理:家用美白套装通常包含美白牙贴或美白凝胶,主要成分是过氧化氢或过氧化脲。这些成分通过氧化作用分解牙齿表面的色素,达到美白效果。

优点:使用方便,可以在家中自行操作,费用相对较低。

 缺点:由于家用美白套装内的有效成分相对医用椅旁套装较低,可能需要较长时间才能看到明显效果。使用不当可能会导致牙齿敏感或牙龈刺激。

适用人群:轻度牙齿变色、希望在家中自行美白的人群。

注意事项:使用前需仔细阅读说明书,避免过度使用。如果出现牙齿敏感或牙龈不适,应暂停使用并咨询牙医。

(2)冷光美白

原理:冷光美白是目前最流行的牙齿美白技术之一。它通过特定波长的蓝光激活美白剂(通常含有过氧化氢),使美白剂快速渗透到牙齿内部,分解色素,达到快速美白的效果。

优点:美白效果显著,通常在一次治疗后即可看到明显改善。

缺点:随着时间的延长,美白效果可能会反弹,需要再次使用保持效果。另外,可能会导致牙齿敏感,但这种敏感通常是暂时的,可在治疗后24-48小时内缓解。

适用人群:中度牙齿变色、希望快速获得美白效果的人群。

注意事项:治疗前需进行口腔检查,确保口腔健康。治疗后24小时内避免食用色素较深的食物和饮料,以巩固美白效果。

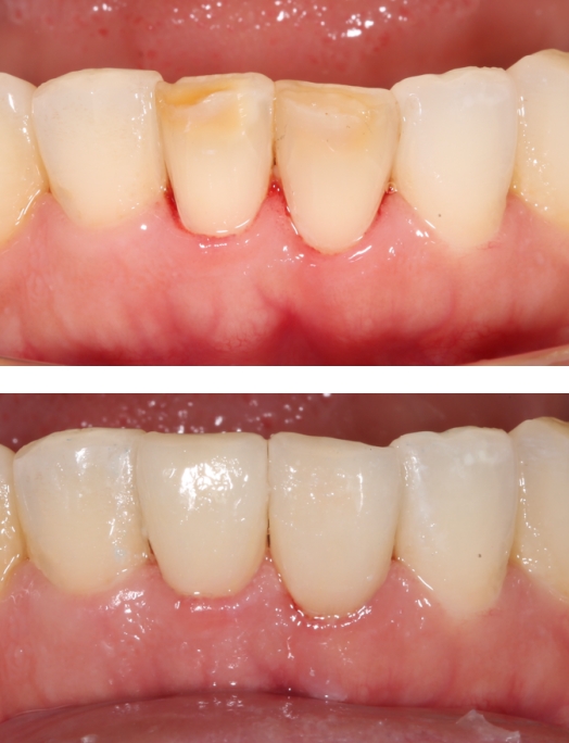
(3) 贴面

原理:贴面是一种更为持久的牙齿美白方法。它通过在牙齿表面粘贴一层薄薄的瓷片或树脂片,遮盖牙齿的变色部分,同时改善牙齿的形状和排列。

优点:效果自然、持久,可以同时解决牙齿变色、牙齿缺损、牙齿排列不齐等问题。

缺点:需要磨除部分牙齿组织,属于不可逆的治疗。费用相对较高,治疗过程较为复杂。

适用人群:牙齿变色严重、对美观要求较高的人群。

注意事项:选择贴面时,务必选择正规的医疗机构和经验丰富的牙医,以确保治疗效果和安全性。

微信截图_20250328084247.png

贴面修复前后

三、牙齿美白的注意事项

1. 选择合适的美白方法:不同的牙齿变色原因和程度适合不同的美白方法。在选择美白技术前,建议先咨询专业的牙医,进行全面的口腔检查,以确定最适合自己的美白方案。

2. 避免过度美白:牙齿并非越白越好,过度美白可能会损伤牙齿表面的牙釉质,导致牙齿敏感或脆弱。因此,在追求美白的同时,也要注意保护牙齿的健康。

3. 合理饮食:减少咖啡、茶、红酒、烟草等色素较深的食物和饮料的摄入,有助于保持牙齿的美白效果。如果无法避免,建议饮用后及时漱口或刷牙。

4. 警惕非法美白产品:市场上存在一些非法的牙齿美白产品,这些产品可能含有有害成分,对牙齿和口腔健康造成严重危害。选择美白产品时,务必选择正规品牌,并在专业人士的指导下使用。

四、牙齿美白的误区

误区一:牙齿越白越好

牙齿的自然颜色是淡黄色,这是因为牙齿表面的牙釉质是半透明的,其下的牙本质呈淡黄色。过度追求洁白如雪的牙齿可能会导致牙齿敏感或损伤牙釉质。因此,牙齿美白的目标是恢复牙齿的自然光泽,而不是追求不切实际的白色。

误区二:牙齿美白可以一劳永逸

牙齿美白效果并非永久性的。如果不注意口腔卫生和饮食习惯,牙齿可能会再次变色。因此,牙齿美白后仍需保持良好的口腔护理习惯,定期进行口腔检查和洁牙,以维持美白效果。

误区三:牙齿美白对牙齿有害

专业的牙齿美白技术(如冷光美白)在正规医疗机构进行时是安全的。美白剂的浓度和使用时间都经过严格控制,不会对牙齿造成损伤。但如果选择非法美白产品或自行操作不当,可能会导致牙齿敏感或牙龈刺激。因此,选择正规的美白方法和专业的牙医至关重要。

千库网_牙科健康口腔健康牙科医院美白牙齿海报_背景编号5385784.jpg

牙齿美白是提升个人形象和自信的重要手段,但选择合适的美白方法和注意护理同样重要。在追求洁白牙齿的同时,切勿忽视牙齿的健康。如果你对牙齿美白有任何疑问,建议咨询专业的牙医,他们将为你提供最适合的建议和治疗方案。让我们一起努力,拥有健康、洁白、自信的笑容!