健康教育

您现在的位置: 首页 - 科室导航 - 口腔医学中心 - 健康教育

牙龈“长包”别不当回事,炎症已经来敲门

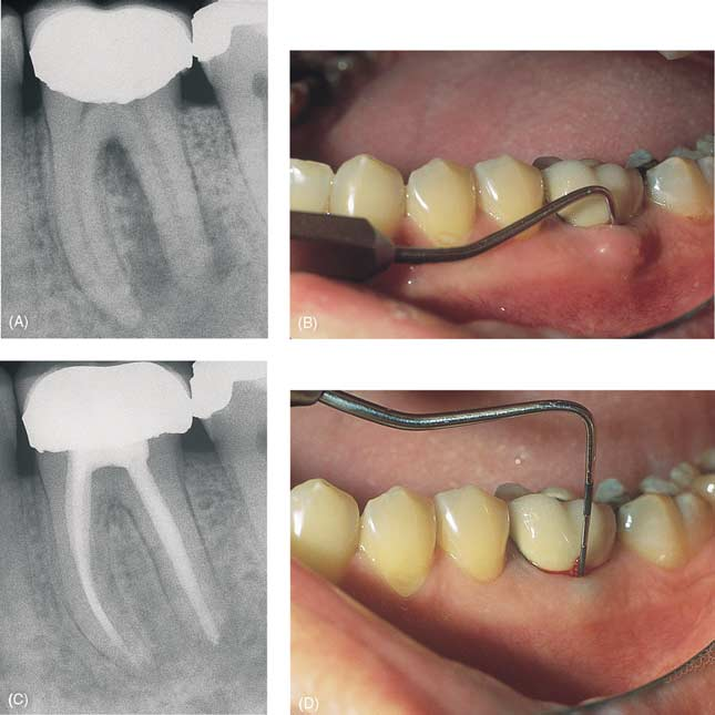
  北京清华长庚医院9月26日电(文章 张雪梅)临床上遇到很多患者前来就诊时述其牙龈上“长包”,起初以为是溃疡,会慢慢愈合消失,但是它不但不好转,而且还反反复复总是出现,这时患者认识到了问题的严重性,甚至以为自己长了肿瘤,急忙就诊寻求帮助。

  其实,一般情况下牙龈上的这种小包是因为牙齿炎症形成脓液,然后脓液从牙龈处穿破排出而形成的一个通道,专业术语称为窦道[1]。这种情况的患者大多数在牙龈出现“小包”之前都经历过牙齿疼痛,待“小包”出现之后疼痛反而缓解,那是因为脓液排出,炎症压力释放,疼痛才得到了缓解。所以牙龈“长包”,不要惊慌,及时就医,大多数情况下对牙齿进行“根管治疗”,都会获得良好的效果。

  但是,我要告诉大家的是,一旦牙齿炎症已经导致牙龈“长包”,就证明炎症已经比较严重了,疗效已经有了折扣。在牙龈长包之前牙齿已经给予了我们信号,有洞或者疼痛就是告诉我们牙齿出问题了,请尽快医治。牙齿疾病就像其他全身疾病,很多时候没有什么感觉就已经发生了,所以爱护牙齿,认真正确的刷牙,控制危险饮食习惯,定期检查,早发现早诊断早治疗才是牙齿健康的正确打开模式。

 

  参考文献:

  1.《牙体牙髓病学》第四版,人民卫生出版社,2017

  2.Ilan Rotstein & James H. S. Simon.Diagnosis, prognosis and decision-making in the treatment of combined periodontalendodontic lesions.Periodontology 2000, Vol. 34, 2004, 165–203.