健康教育

您现在的位置: 首页 - 科室导航 - 口腔医学中心 - 健康教育

您是否对这些口腔健康问题存在疑惑?

在口腔临床工作过程中,经常会碰到很多患者对口腔治疗不理解,甚至会问一些令牙医苦笑不得的问题,下面就一些常见问题进行解释。

听说洗牙对牙齿有损害,我能不能不洗牙?

洗牙是使用超声振动去除牙齿表面的牙结石,每年洗一次可以有效维护口腔卫生,防止刷牙出血、口腔异味,防治牙龈炎,控制牙周炎的进展。

洗牙后会出现一些不适,比如:牙缝增大、牙齿敏感、感觉粗糙等。其实这些问题的出现,并非是洗牙对牙齿造成了损害,而牙结石才是导致出现这些问题的罪魁祸首。牙缝增大时因为牙结石的不良刺激已经导致牙龈出现退缩,清除牙结石后暴露出牙齿之间的自然缝隙;牙齿敏感,也是一样,牙结石刺激牙龈退缩、根面暴露,去除牙结石后会出现根面敏感,不过这种症状只是暂时的,一般都会慢慢缓解;感觉牙齿粗糙是因为牙结石已经对牙齿表面造成伤害了,出现坑凹不平,一般洁牙后进行抛光,就会明显缓解。如果大家坚持定期洗牙,相信这些问题只会离您越来越远。

 

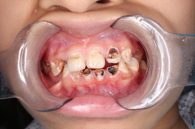
发现牙齿龋坏了,能不能不治或者延迟治疗?

龋齿是牙科发病率最高的疾病,早期充填,一次就能完成治疗,医保基本全覆盖,既省时间又省费用。

一旦龋齿进展至牙髓炎阶段,不仅需要根管治疗,后期还需要冠修复,治疗复诊次数多达6-7次,镶牙费用也更加高昂,医保基本也不覆盖龋病、牙髓炎如果长时间不治疗,可能会导致根尖炎、根尖囊肿等,严重的甚至会导致牙齿有拔除的风险。

 

智齿不疼,为什么要拔?

这恐怕是大家最不能理解的问题。阻生智齿容易导致以下问题:最常见就是智齿冠周炎,其次有的时候会出现咬颊、咬合创伤,也有的时候会出现食物嵌塞,还有的时候会导致邻牙出现龋齿、牙髓炎,甚至导致邻牙松动需要拔除等。所以对于可能要出现问题的阻生智齿,牙医建议预防性的拔除。当然也不是建议大家拔除所有智齿,只有下面情况,牙医才不建议拔除:智齿萌出完全,具有咬合功能,或者十二三岁的患者因为龋齿拔除了第一、或者第二磨牙的患者,智齿建议保留。

 

残留牙根是否可以不用拔除?

很多患者认为口腔内残留牙根暂时不疼痛,可以不用拔除,其实不然,残留牙根危害很多。首先残留牙根随时可能会出现疼痛;另外由于食物残渣的堆积,导致局部口腔异味;长久的根尖慢性炎症也有可能会导致根尖囊肿,甚至导致牙槽骨缺损。

对于残根的治疗方案,一般是拍片检查,如果能够保留,可以先行根管治疗,然后进行桩核冠修复,如果不能保留,建议拔除后早期修复。

 

这颗牙齿掉了很久了,一直觉得也没什么问题,能不能不镶牙?

牙齿缺失短期内是没什么症状的,也不会出现什么严重问题,所以很多人就认为可以不用镶牙。但是牙齿缺失后长期不镶牙,会导致出现很多问题,比如邻牙倾斜、对颌牙齿升长、食物嵌塞、邻牙龋坏、牙周炎等。一颗牙齿的缺失,经常会导致出现一系列问题。一旦您哪天想起来要解决这些问题了,镶牙方案只会更加复杂,复诊次数也会增加。所以一旦出现牙齿缺失,应尽快与镶牙医生就诊,制定最佳治疗方案。

牙科疾病的建议都从预防做起,从坚持每天正确刷牙,保持口腔卫生;半年到一年洗洗牙,既是洗牙也是全面的口腔检查。发现问题,早治疗,省时间也省费用,也能达到最佳的治疗效果。口腔问题发现越晚,治疗过程会更复杂,复诊次数会增多,治疗费用也会增加。