健康教育

您现在的位置: 首页 - 科室导航 - 口腔医学中心 - 健康教育

每天2杯美式,牙齿变黄谁的锅? --咖啡牙自救指南



如果每天 2 杯美式还嫌不够提神,请先看完这篇再下一单。2025 年全国咖啡销量突破一万亿元大部分都被写字楼里的打工人喝掉。与此同时,“咖啡牙”冲进口腔科热搜前三到底是谁的锅?今天一次说清。

图片1.png


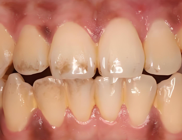
.色素沉着造成的牙齿黑染

1 咖啡到底怎么给牙“上颜色”?  

咖啡让牙齿变黄,并不是单一“色素”那么简单,而是多重化学攻击 + 物理沉积的连锁反应。最新研究把机制拆成了四步:

1)染色分子“粘”上去  

咖啡豆在烘焙过程中会生成深褐色物质:  

• 美拉德反应产物——黑色素(melanoidins)

• 绿原酸降解产物——棕褐色聚合物

这些分子都带大量天生喜欢吸附在牙釉质表面的化学键,使牙齿先出现浅棕色斑块。

2)单宁酸“锁”住颜色  

咖啡中的单宁酸(tannins)像“胶水”一样,能把上述色素牢牢固定在釉质微孔里,时间越长颜色越深,从浅棕→深棕→灰黑。

3 酸性环境“打毛”釉质  

咖啡 pH≈5,属于弱酸。长期冲刷会使釉质表面脱矿,形成更多微孔和粗糙面。粗糙度增加会造成色素沉积面积增大,从而让齿颜色更暗。

4)唾液减少“冲不走”色素  

咖啡因抑制唾液分泌,使口腔自洁力下降 30 %。色素和细菌残渣更久地停留在牙面,染色逐渐加重

总结一句话:  

黑色素先上色→单宁酸加固→酸蚀扩大吸附面积→唾液减少让色素赖着不走,四连击下来,牙齿就被咖啡“染黄”甚至“染棕”了。

    2  打工人的 3 个“防黄黄金招数”  

     (1)加奶:乳蛋白提前“吃掉”单宁防止变黑效果拿>美式,全脂>脱脂。  

     (2)用吸管:可降低前牙染色几率及面积。  

     (3)喝完立刻漱口:清水 or 漱口水漱口30 秒,可以防止色素沉着  

    3  已经黄了怎么办?  

     (1)电动牙刷刷牙。电动牙刷的震动可以帮助去除色素,对于较轻的色素沉着此方法就可以解决。

     (2)喷砂+抛光可以。对于着色严重、时间长难以去除的色素就需要医生进行喷砂、抛光来去除色素,一般可以半年至一年一次。  

     (3)对于非外源性色素导致的着色,上述方法无法解决,需要口腔医生检查后根据病因进行处理。  

值得一提的是,任何美白前必须先洗牙,否则等于给“脏车打蜡”。

     4  一张流程图,存手机随时看 ,保证一口小白牙

美式入口 → 加奶+吸管 → 到公司立刻漱口 → 午休刷牙+牙线 → 晚上含氟美白牙膏 → 半年洗牙  

  照着做,咖啡继续喝,牙也能慢慢白回来。