健康教育

您现在的位置: 首页 - 科室导航 - 口腔医学中心 - 健康教育

重拾笑容,轻松咀嚼—活动义齿大揭秘

在口腔修复领域,活动义齿是一种常见且实用的修复方式,它为众多牙齿缺失患者带来了福音。下面就带您了解活动义齿的相关知识,帮助您更好地认识这一修复手段。

什么是活动义齿

活动义齿是一种可以自行摘戴的义齿,主要由人工牙、支托、基托、连接体和固位体三部分组成。人工牙用于恢复缺失牙齿的形态和功能;支托用于支撑、稳定、传力;基托是在缺牙区牙槽嵴上,连接人工牙和固位体的基底,起到支撑和连接的作用;连接体是连接将义齿各个部分连接在一起的装置;固位体则是通过卡环等结构固定在剩余的天然牙上,使义齿能够稳固地戴在口腔内。这种义齿可以根据患者的口腔情况和需求进行个性化设计,具有一定的灵活性和适应性。

图片1.png

图1.活动义齿示意图

活动义齿适用于患者因龋齿、牙周病等原因导致部分牙齿缺失时,它可以利用剩余的天然牙作为支撑,恢复缺失牙的功能和美观。在一些情况下,如患者需要等待种植牙手术或者进行口腔其他治疗时,活动义齿也可以作为一种临时的过渡修复手段,帮助患者在治疗期间维持基本的口腔功能和外观。

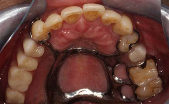
图片2.png

图2.口内佩戴的活动义齿

活动义齿的优点

1. 可自行摘戴:这是活动义齿最大的优势之一。患者可以根据自己的需要随时摘戴义齿,便于清洁和维护。在进食后取下义齿进行清洗,避免食物残渣堆积在义齿和口腔组织之间,减少口腔异味和细菌滋生的机会,有助于保持口腔卫生。

2. 价格相对较低:相比种植牙等修复方式,活动义齿的费用较为亲民。

3. 适用范围广:无论是单颗牙齿缺失、多颗牙齿缺失还是全口牙齿缺失,活动义齿都能提供相应的修复方案。它可以根据患者的口腔状况和需求进行个性化设计,满足不同患者的需求。

4. 对剩余天然牙损伤小:活动义齿主要通过卡环等结构固定在剩余的天然牙上,不需要像固定桥那样对相邻的天然牙进行大量磨除。因此,对于剩余天然牙的损伤相对较小,能够更好地保护患者的天然牙。

活动义齿的缺点

1. 初期佩戴不适:由于活动义齿需要与口腔内的软组织和剩余天然牙紧密接触,患者在佩戴初期可能会感到不适,如异物感、恶心、发音不清等。但随着佩戴时间的延长,大多数患者会逐渐适应。

2.影响美观:由于活动义齿大都有卡环卡抱在天然牙上起到固位作用,金属颜色的卡环会影响美观。

3 咀嚼效率相对较低:与天然牙相比,活动义齿的咀嚼效率会受到一定影响。尤其是在咀嚼较硬食物时,可能会感觉不够稳定,需要患者在饮食上进行适当调整。

4. 需要定期维护和调整:活动义齿在使用过程中可能会出现磨损、变形等情况,需要定期到医院进行检查和调整。此外,如果患者的口腔情况发生变化,如剩余天然牙的松动、牙槽骨吸收等,也需要及时对义齿进行修改或重新制作。

活动义齿的护理要点

1. 每天清洁:每次进食后,都要及时取下活动义齿进行清洗。可以使用软毛牙刷轻轻刷洗义齿的各个部位,去除残留的食物残渣和细菌。同时,也要注意清洁口腔内的天然牙和黏膜,保持口腔卫生。夜间睡眠前,需取下义齿,泡在凉水中,睡眠时不能佩戴义齿。

2. 避免使用硬物清洁:在清洗活动义齿时,要避免使用硬物,如牙签、刀片等,以免刮伤义齿表面,影响其使用寿命。

3. 正确存放:当不佩戴活动义齿时,应将其浸泡在清水中,避免义齿因干燥而变形。切勿将义齿浸泡在热水或酒精中,以免加速树脂的老化,损坏义齿材料。

4. 定期复查:建议患者每年到医院进行一次复查,让医生检查义齿的佩戴情况和口腔健康状况。如有需要,及时对义齿进行调整或修复。

活动义齿的使用寿命

活动义齿的使用寿命因多种因素而异。一般来说,如果患者能够正确佩戴和维护,活动义齿的使用寿命可以达到5年甚至更长时间。但如果患者不注意口腔卫生,导致义齿损坏或口腔疾病加重,或者义齿本身的质量不佳,使用寿命可能会缩短。因此,患者在选择活动义齿时,应选择正规的医疗机构和专业的口腔医生,确保义齿的质量和佩戴效果。

总之,活动义齿作为一种传统的口腔修复方式,在牙齿缺失修复中发挥着重要作用。它能够帮助患者恢复口腔功能和美观,提升生活质量。但患者在选择活动义齿后,也需要了解其优缺点,并掌握正确的护理方法,以确保义齿的使用寿命和口腔健康。如果您有牙齿缺失的问题,建议及时到口腔科就诊,由专业的医生为您制定最适合的修复方案。