健康教育

您现在的位置: 首页 - 科室导航 - 口腔医学中心 - 健康教育

牙冠修复:拯救受损牙齿的“保护伞”


牙冠修复(俗称牙套)是一种常见的口腔修复方式,它通过在牙齿上安装人工牙冠,帮助恢复牙齿的外形、咀嚼功能,同时保护剩余的牙体组织。本文将为您详细介绍牙冠修复的适应症、材料选择以及修复后的注意事项。

一、牙冠修复的适应症

牙冠修复适用于以下几种情况:

1. 牙体严重缺损:当牙齿因龋坏、外伤等原因导致大面积缺损,无法通过充填材料修复时。

2. 根管治疗后的保护:根管治疗后的牙齿会变得脆弱,容易劈裂,牙冠修复可以提供额外的保护。

3. 改善牙齿外观:对于牙齿颜色异常(如氟斑牙、四环素牙)、牙齿形态不佳(如锥形牙、釉质发育不全)等情况,牙冠修复可以改善美观。

4. 咬合问题:存在咬合低、邻接不良、牙冠短小、错位牙改形等情况,牙冠修复可以帮助恢复正常解剖外形和咬合关系。

5. 活动义齿基牙的保护:如果活动义齿的基牙有缺损,牙冠修复可以保护基牙并改善其形态。

二、牙冠修复的材料选择

牙冠修复的材料主要有以下几种,各有优缺点,适用于不同的情况:

1. 金属冠

优点:强度高,耐用性强,适合承受较大咬合力的后牙区。

缺点:美观性差,可能引起牙龈染色,多个金属冠可能影响核磁共振图像。

图片4.png


1 金属冠

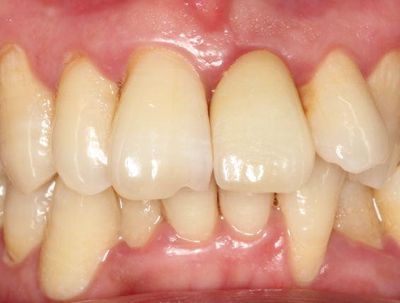
2. 全瓷冠

优点:美观性好,与天然牙齿颜色和透明度相似;生物相容性好,不影响核磁共振检查。

缺点:价格较高,相对金属冠较脆,有崩瓷风险。

图片5.png


图片6.png


2.左上中切牙全瓷冠修复前后

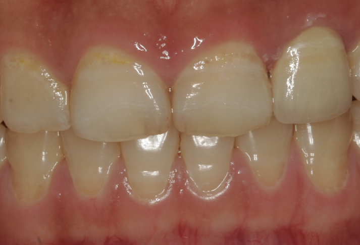
3. 金属烤瓷冠

优点价格较全瓷冠低,美观较金属冠好

缺点:金属基底可能引起牙龈染色,对核磁共振图像有一定影响,美观性能不如全瓷冠,有崩瓷风险

图片7.png

图片8.png


3.左上侧切牙烤瓷冠修复

4. 树脂冠

优点:价格较低,美观度尚可。

缺点:耐磨性差,使用寿命短,一般仅用于临时修复

三、牙冠修复后的注意事项

1. 临时冠期间

1避免用患侧咀嚼,不要吃太黏和过硬的食物。

2临时冠脱落应及时联系医生复诊粘结。

3注意临时冠部位的清洁。

2. 永久冠佩戴后

1初戴会有不适感,一般数日会适应。

2初戴牙冠后应吃软的食物,适应后再恢复正常饮食。

3避免吃过硬的食物,以免损坏牙冠

4)避免吃过黏的食物,以免造成牙冠脱落

5牙冠与基牙的接合处容易聚集菌斑,形成牙石,应注意保持口腔清洁,养成餐后刷牙的习惯,牙缝间可以使用牙线清洁。

6定期复查,确保牙冠的长期稳定性和口腔健康。

牙冠修复是现代口腔医学中一种重要的修复手段,能够有效保护受损牙齿,恢复其功能和美观。选择合适的材料和遵循正确的护理方法,可以帮助您更好地享受健康、美观的牙齿