健康教育

您现在的位置: 首页 - 科室导航 - 口腔医学中心 - 健康教育

什么?活动假牙突然戴不上了?


临床中经常遇到患者配戴了几年的假牙突然戴不上了,患者自己非常困惑,下面我们就详细讲解一下出现这种情况的原因、怎么办以及如何预防

图片 1.png

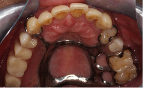
图 活动义齿佩戴图

活动假牙突然戴不上了的原因

1. 假牙变形:活动假牙在使用过程中,如果受到外力撞击、挤压,或者在清洁、摘戴时不慎用力过猛,掉在地上等都可能会导致假牙的损坏或者变形。变形后的假牙无法与口腔内的结构紧密贴合,从而导致无法正常佩戴。

2. 口腔内环境变化:

   1)口腔黏膜变形:由于牙体牙周疾病造成的黏膜肿胀、口腔黏膜疾病造成的黏膜变形等,都会使牙龈或者黏膜形态改变,一戴假牙就疼,造成无法顺利就位。

2)剩余牙齿变化:如果口腔内还有天然牙齿,这些牙齿的松动、移位或脱落,都会改变假牙的支撑结构,导致假牙无法正常佩戴。

3)长时间未佩戴义齿:剩余牙齿变化比较极端的情况是有的患者半年没有戴义齿,再戴就戴不上了,这是因为余留的天然牙由于邻牙、对颌牙的缺失,会有微小的移动,佩戴的假牙能起到一定的稳固支撑天然牙的作用,但是如果长期不戴假牙,余留的天然牙齿移动范围就比较大,跟假牙不匹配了,这时,就会出现戴不上假牙的情况。

3.佩戴方法错误:佩戴假牙时,如果方向不对,或者用力过猛、过急,也可能会导致假牙无法顺利就位,甚至可能损坏假牙。

解决方法

1. 检查假牙:先仔细检查假牙是否有变形、损坏等情况。如果发现假牙变形或损坏,应尽快前往专业的牙科诊所进行修复或更换。

2. 观察口腔:观察口腔内是否有牙龈增生、牙龈肿包、牙齿松动等问题。如果存在这些问题,应及时到牙科医院进行检查和治疗。医生可能会根据具体情况调整假牙,或者建议进行相关牙体牙周治疗等。

3.调整佩戴方法:按照正确的方法佩戴假牙。佩戴时,先将假牙放在合适的位置,然后轻轻按压,使其与口腔组织紧密贴合。摘戴时,要避免用力拉扯,以免损坏假牙或损伤口腔组织。

4. 及时就医:如果尝试多次仍无法佩戴,或者口腔内出现不适症状,应及时到牙科医院就诊。医生会通过专业的检查和诊断,找出问题的根源,并给予相应的治疗和调整。

预防措施

1. 正确使用和保养假牙:严格按照医生的指导进行假牙的佩戴和摘取,避免用力过猛或不当操作导致假牙损坏。佩戴时要用手辅助戴到合适位置,不可用牙咬着戴。这是由于有时位置没有放到位再突然用力,假牙会造成变形。另外,清洗假牙时要小心,最好清洗时放个装水的盆,即使假牙脱手也不至于掉到坚硬的地方造成损坏变形。假牙最好每天都佩戴,如有特殊情况一段时间不戴假牙,也要确保每周至少佩戴一次,这样避免长期不佩戴后余留牙的移动造成假牙无法佩戴。

2. 定期复查及更换:建议每一年到牙科医院进行一次复查,及时发现并解决假牙可能出现的问题,同时也可以对口腔健康进行全面检查。另外,由于牙齿拔除后,缺牙区牙槽骨会进行性吸收,活动假牙佩戴后5年左右,牙槽骨吸收量就比较大了,这时,活动假牙会出现松动、压痛、不稳定等情况,这时就需要更换了。所以,一般佩戴活动义齿5年左右需要复诊,必要时重新制作义齿。

3. 注意口腔卫生:保持良好的口腔卫生习惯,每天刷牙两次,使用牙线清理牙缝,避免牙龈疾病和牙齿问题影响假牙的佩戴。

如果假牙突然戴不上了,也不要着急,了解其原因并采取正确的解决方法,同时注意预防措施,可以有效延长假牙的使用寿命,保持口腔健康。