健康教育

您现在的位置: 首页 - 科室导航 - 口腔医学中心 - 健康教育

根管治疗后为什么要戴牙冠?不给牙齿“戴头盔”,小心咬劈了!

“医生,我的牙已经做完根管治疗,也不疼了,为什么还要花几千块钱做个牙冠?直接补上不行吗?”这是每天患者对我的“灵魂拷问”。患者们往往认为,根管治疗(俗称“杀神经”)成功后,牙齿的战役就已经胜利了。殊不知,这其实只是赢得了“上半场”,而给牙齿戴上牙冠这个“安全头盔”,才是决定这颗牙齿能否长久使用的“下半场”决胜关键。

图片1.png

图1.牙冠示意图

今天,我们就来彻底讲清楚,这颗历经磨难、重获新生的牙齿,为什么迫切需要牙冠的贴身保护。

一、历经劫难:根管治疗后牙齿的“内在巨变”

根管治疗是一项伟大的“救牙工程”,它通过彻底清除牙齿内部感染坏死的牙髓组织,并进行严密填充,消除了疼痛和感染的根源。但这场手术也让牙齿本身付出了巨大的代价:

1. 失去“心脏”,变成“枯树枝”牙髓,俗称牙神经,不仅是感觉器官,更是牙齿的营养供应中心。它源源不断地为牙体硬组织(牙本质)提供水分和营养,让牙齿保持微小的弹性力和活力。失去牙髓后,牙齿的代谢停止,硬度虽在,但韧性会逐渐丧失,变得像一根失去水分的枯树枝,脆性大大增加。在咀嚼时,尤其是突然的硬物撞击下,它不再懂得“弯曲缓冲”,而是容易直接“劈裂”。

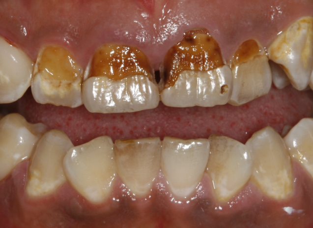
2. 结构缺损,已是“危房”需要做根管治疗的牙齿,本身往往就“病得不轻”。要么是巨大的蛀洞,要么是严重的外伤破损或隐裂。而在治疗过程中,医生为了能彻底清除感染、建立进入根管的通道,不得不磨除更多的牙体组织。这导致牙齿本身的剩余健康组织变得非常薄弱,就像一个被掏空地基、墙体破损的“危房”,虽然修缮了内部管道(根管),但其结构已经无法独立承受日常咀嚼的“风雨”。

图片2.png

图2.龋病造成的牙齿结构缺损

1. 黯然失色,悄然“变黑”失去活力的牙齿,会随着时间的推移逐渐变暗、变灰、失去透明感。这是因为牙齿内部的血色素等物质分解变性所致。这种变色不仅严重影响美观(尤其是前牙),也是牙齿内部结构变化的一个外在信号。

二、终极防护:牙冠是如何扮演“安全头盔”的?

面对这样一颗脆弱而宝贵的牙齿,牙冠(俗称“牙套”)就是为其量身定制的“金钟罩”。它的作用远不止是“盖上去”那么简单:

1. 全面包裹,分散应力——从“易裂”到“抗压”这是牙冠最核心的力学作用。没有保护的牙齿咀嚼时,力量集中在薄弱的牙壁上,产生导致劈裂的拉应力。而牙冠像一个坚固的箍,将整个牙齿360度紧密包裹,使咀嚼力得以均匀地分散到牙冠整个表面以及下方的牙根和牙槽骨上,将破坏性的拉应力转化为保护性的压应力,极大降低了牙齿劈裂的风险。

2. 重塑外形,恢复功能——从“摆设”到“实用”根管治疗后的牙齿形态是不完整的。牙冠能精确恢复牙齿天然的解剖形态——包括牙尖、窝沟的边缘嵴,从而恢复与对颌牙的高效咬合关系,让咀嚼变得有力、高效。同时,良好的形态也有助于食物正常流通,避免塞牙,维护邻牙健康和牙龈组织的正常生理刺激。

3. 严密封闭,杜绝再感染——构建“无菌屏障”

4. 牙齿和填充材料之间可能存在微小的缝隙。牙冠通过与牙体的高度密合,为剩余的牙体组织提供了一个360°无死角的终极密封,有效阻隔口腔环境中的细菌及其代谢产物渗入内部,防止根管系统的再感染,是守护治疗成果的最后一道,也是最重要的一道防线。

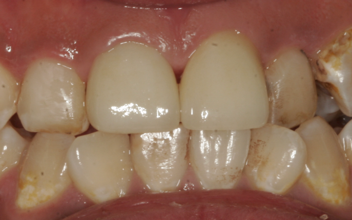
美学再造,焕然一新——告别“灰暗历史”对于前牙,全瓷冠拥有媲美天然牙的色泽、通透度和质感,可以完美遮盖根管治疗后的变色,甚至做得比原来更美观,让您笑得更自信。

图片3.png

图3.牙冠修复后效果

三、不做牙冠的风险:省小钱,可能酿大祸!

如果因为暂时不疼或者想省钱而拒绝戴冠,无异于让一位重伤初愈的士兵不穿盔甲就上战场,风险极高:

1. 牙齿劈裂: 这是最灾难性的后果。如果裂缝只在牙冠部分,或许还能补救。但一旦裂缝延伸至牙根,形成“纵裂”,那么这颗牙齿就失去了保留的价值,只能被拔除。届时,损失的不仅是一颗牙,后续的种植或镶牙费用将远高于当初做一个牙冠的价格。

2. 再感染与二次治疗: 密封不严导致细菌再次侵入,根尖再次发炎,需要拆除原有填充物进行二次根管治疗,过程更复杂,效果也更不确定。

3. 咀嚼功能丧失: 因为害怕牙齿劈裂而不敢用患侧咀嚼,长期单侧咀嚼会导致颞下颌关节紊乱、面部肌肉不对称等一系列问题。

总结来说,根管治疗是“治病”,而戴牙冠是“防灾”。 前者解决了眼前的疼痛,后者防范了未来的风险,保障了长期的投资收益。为您历经磨难保下来的牙齿戴上一项坚固的“安全头盔”,是一笔对未来口腔健康非常明智的投资。请务必听从您修复医生的专业建议,为您的牙齿穿上这身最坚固的铠甲,让它能继续在您的口腔里安心、长久地“服役”!