科室动态

您现在的位置: 首页 - 科室导航 - 骨科与运动医学中心 - 科室动态

余家阔教授团队全关节镜下内侧髌股韧带重建术治疗复发性髌骨脱位临床优势显著

骨科与运动医学中心主任余家阔教授带领膝关节外科团队于近期开展全关节镜下内侧髌股韧带重建术治疗髌骨脱位。对于髌骨脱位的患者,保守治疗失败后通常需要进行内侧髌股韧带重建术维持髌股关节的稳定性,其中传统术式在定位和钻取髌骨骨道和股骨骨道时通常需要1-2个约4-5cm的手术切口,全镜下微创术式用2个约1cm关节镜微创入路取代了长切口,与切开进行的传统手术方式相比具有以下优势:

1、术中骨道定位准确,避免反复透视及辐射风险。

2、缩短手术时间,减少术中失血,降低手术附带创伤。

3、手术切口小,无需拆线,减少皮肤瘢痕形成。

4、减少膝关节内组织瘢痕形成,降低术后关节粘连等并发症风险。

5、减轻术后疼痛,有利于快速康复。

一、微创手术步骤

1、髌内侧微创入路建立髌骨骨道。

图片3.jpg











2、由皮下牵引出移植物引导线。

图片4.jpg

3、通过股骨骨道关节镜入路建立股骨骨道,并牵引移植物引导线。

图片5.jpg

4、经引导线将移植物穿入髌骨骨道。

图片6.jpg

5、经引导线将移植物穿入股骨骨道。

图片7.jpg

6、移植物固定。

图片8.jpg

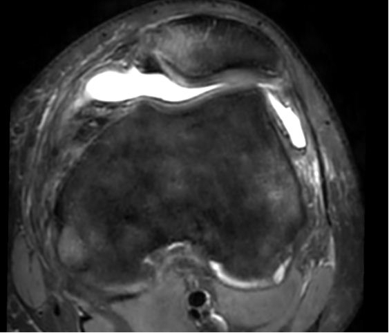
二、手术效果观察

内侧髌骨韧带关节镜下重建后,术中在关节镜下观察,髌骨已经复位良好,术后MRI影像学表现如下:

   术前髌骨半脱位状态            术后髌骨复位

三、术后伤口表现

 传统微创关节镜辅助术式          全镜下微创术式



供稿:余家阔(审)、宋一凡。