科室动态

您现在的位置: 首页 - 科室导航 - 骨科与运动医学中心 - 科室动态

清华长庚骨科直接前方入路半髋关节置换术助患者早日恢复日常生活

  北京清华长庚医院2月1日电(通讯员 于悦超 )近日,清华大学附属北京清华长庚医院骨科主治医师付立功,采用直接前方入路半髋关节置换术治疗了一位股骨颈骨折患者,术后第二天就可以下地活动,早期就可以生活自理,大大加快了患者的恢复时间。

  患者今年83岁,因不慎摔伤导致左侧股骨颈骨折,付立功主治医师在接诊后,考虑患者高龄,且股骨颈骨折移位明显,以后一定会发生骨股头缺血性坏死,影响患者行走及日常生活。结合老人的身体状况及骨折类型,付立功医师立即决定为患者行直接前方入路半髋关节置换术。

  

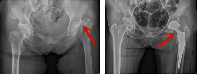
  术前、术后对比:股骨颈骨折术前影像;半髋关节置换术后影像

 

  传统的后外侧入路髋关节置换术,切口长,手术中需离断后方的外旋肌群,包括梨状肌、闭孔内肌、上下孖肌、闭孔外肌、股方肌等,创伤较大,且术后在上述结构未愈合前,髋关节向后脱位的风险明显增加,特别是髋关节屈曲超过90°时。因此患者在接受传统后外侧入路手术后,需要长期保持半卧位,不能坐直,非常影响患者的日常生活,如无法坐着吃饭、坐座便器、穿鞋袜、坐一些比较矮的凳子等,术后很长时间内无法生活自理。而直接前方入路的手术,切口小,且经肌肉间隙完成手术,不损伤任何肌肉组织,对患者创伤小,术后恢复快。由于该入路不损伤后方的关节囊和肌肉组织,髋关节向后脱位的风险大大降低,因此术后早期就允许患者坐直,甚至超过90°。患者第二天就可以下地行走,并且可以自由活动,不受任何活动限制,日常生活基本不受影响,极大地提高了术后早期生活自理能力。

  经过约一个半小时的时间,付立功医师成功地通过直接前方入路为患者实施了半髋关节置换术。术后,患者恢复良好,已于近期出院。

  据主治医师付立功介绍,股骨颈骨折后长时间卧床会导致老年患者出现很多的并发症,如下肢静脉血栓、褥疮、坠积性肺炎等,严重的可夺取患者的生命,因此建议在患者身体条件允许的情况下尽快进行手术治疗,让患者早期下床活动,从而避免上述并发症的发生,帮助患者更快更好地恢复健康。同时,付立功医生提醒:“直接前方入路手术更加依赖医生的经验与技术,能否进行前入路手术,还需要跟主管医师进行进一步的沟通,根据患者的实际情况进行确定。”