科室动态

您现在的位置: 首页 - 科室导航 - 骨科与运动医学中心 - 科室动态

【六周年】清华长庚骨科运用机器人完成颈椎骨折固定术

  北京清华长庚医院11月17日电 (通讯员 实习生于悦超)近日,清华大学附属北京清华长庚医院骨科运用“天玑”骨科手术机器人,为一位因车祸导致上颈椎不稳定性骨折的患者完成微创下枢椎骨折复位空心钉内固定术。

  患者刚过知天命之年,车祸导致其第二颈椎(枢椎)多发骨折,骨科肖嵩华主任医师评估患者情况后,认为该骨折累及枢椎的椎弓根、椎板及附件,属于不稳定性骨折,具备内固定的手术指征,然而该患者损伤部位较高,紧邻生命中枢,且骨折块细小,对螺钉置入的精度要求极高(误差容错小于1mm),手术难度较大。“如果采用传统的手术方式,手术需要从颈后部位开大口子,创伤较大,对患者的恢复不利。”胡冬医师说道。为使患者能够更快康复,肖嵩华决定使用天玑机器人为患者进行手术。

           

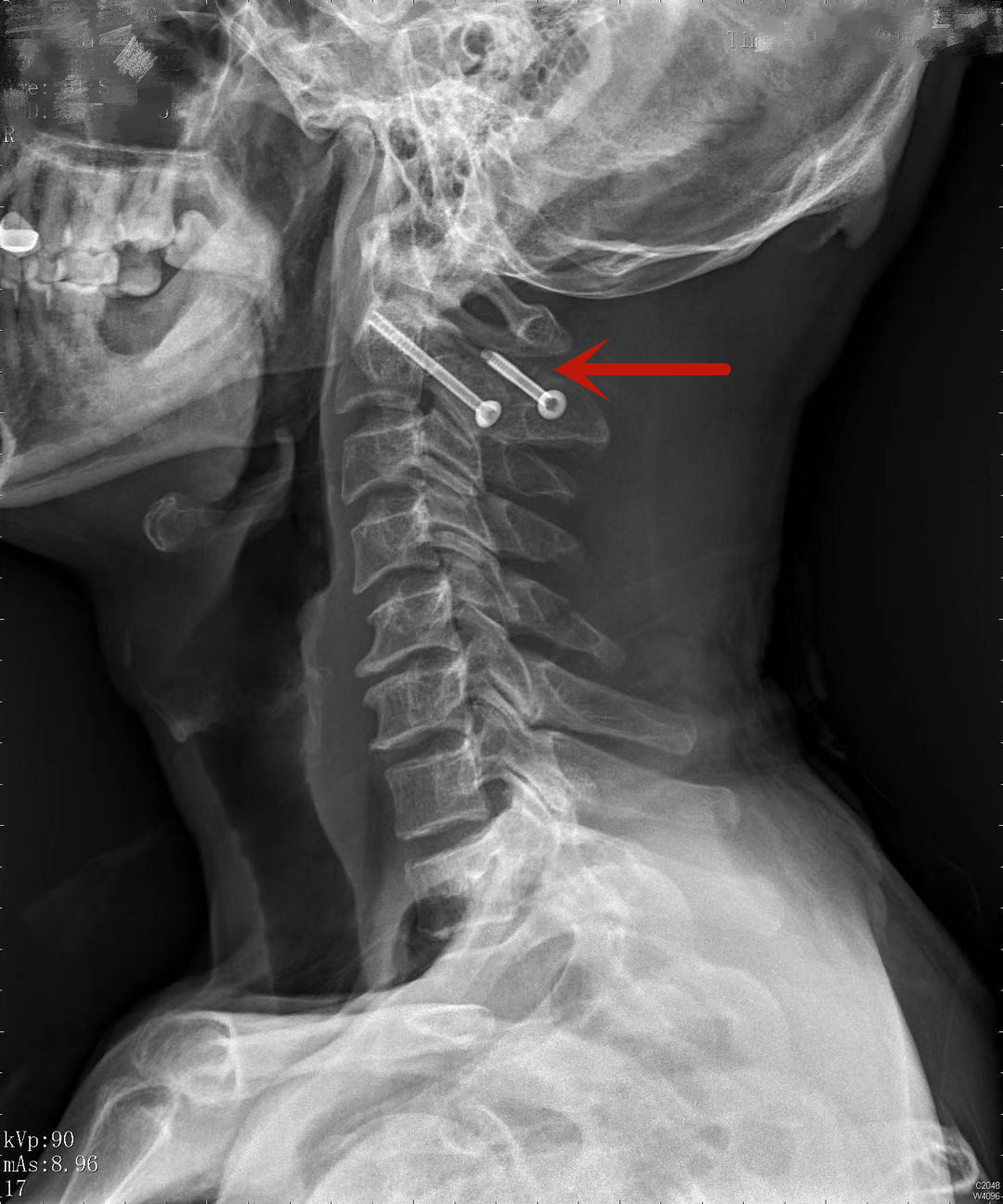
  患者骨折影像图,箭头部位为骨折位置

         

  患者术后复查的影像资料显示螺钉精准地植入骨折块中

  在手术台之外的控制台,是机器人的“大脑”,肖嵩华在此规划机器人手臂的置钉方案,手术过程采用“导航+机械手臂”的方式,通过术中影像资料精准定位骨折部位,规划导航路线。医师使用机械手臂按照预订路线,可直接并精准定位至骨折位置为患者进行手术,减少了不必要的开口创伤;机器人手臂同时避免了人工操作时的手部颤动,提高了手术精准度,缩短了手术与恢复时间;仅微创植入两枚空心钉就达到了固定效果,术后第二天患者即可佩戴颈托下地活动,不到一周,患者已达到出院标准。

  

  机器人手术场景(从右至左分别为肖嵩华、徐凯、胡冬)

  此外,骨科手术机器人的应用,也扩大了各级医生对手术方案的选择余地,提高了年轻大夫对脊柱手术的参与度,缩短了高难度复杂脊柱手术的学习曲线。