科室动态

您现在的位置: 首页 - 科室导航 - 骨科与运动医学中心 - 科室动态

他为何23岁就换了双膝关节?

  清华长庚医院7月17日电(骨科 孙长鲛)近日,北京清华长庚医院骨科副主任蔡谞收到了患者送来的锦旗。患者年仅24岁,在前年和去年,分别进行了左右膝关节置换术,“现在我和正常人完全一样了”患者说。为何他如此年轻,就已关节置换?

  原来,患者患有幼年性类风湿性关节炎(juvenilerhe-umatoidarthritis,JRA)。据蔡谞介绍,这是小儿时期一种常见的结缔组织病,以慢性关节炎为其主要特点,并伴有全身多系统的受累,包括关节、皮肤、肌肉、肝脏、脾脏、淋巴结。此病以关节病变为主,呈慢性非化脓性滑膜炎。早期关节滑膜充血,水肿,滑膜增生形成绒毛状突出于关节腔中,滑膜炎继续进展,进入晚期,关节面相互粘连,关节腔为纤维组织所代替,引起关节强直、畸形或半脱位。“病因并不明确,机理上一般认为和免疫、感染和遗传有关。”蔡谞说。

  因患幼年性类风湿性关节炎,患者被双膝关节疼痛折磨10余年,7年前左膝进行截骨矫形术,同期,右膝因为髌骨骨折行切开复位内固定手术。后又由于右膝关节疼痛做了2次膝关节镜手术,进行滑膜切除术。在这10余年间,双膝关节由于幼年性类风湿的进展,关节炎发展严重,无法正常行走,严重影响日常生活。2年前,患者下定决心,慕名找到蔡谞教授进行左膝关节置换术,术后疼痛缓解明显,于1年前再行右膝关节置换手术。

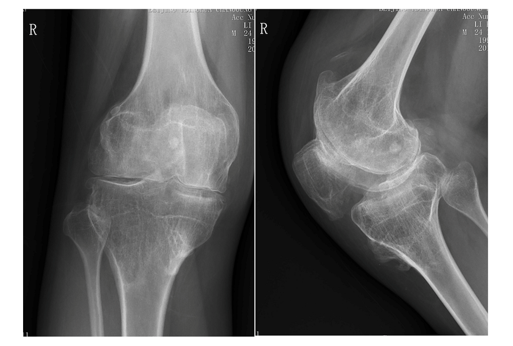
右膝关节X线片,骨质破坏严重

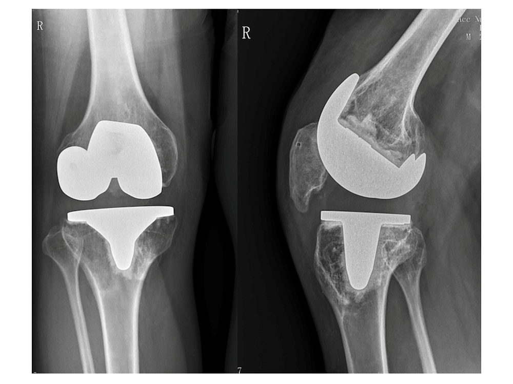
术后X线 右膝关节置换 假体位置良好

  近年幼年性风湿关节炎的治疗有一定进步,但是患者在疼痛和功能方面的整体预后通常较差。据估计,大约50%发生多关节受累和全身性幼年性类风湿关节炎患者最终将出现活动性关节炎的表现,17%的患者在疾病发病后十年内需要助行器行走。在一些非常年轻的患者中,进展性的关节破坏可能会导致严重残疾。

  当药物治疗不能控制症状时,患者往往需要进行外科手术。目前,基础性的手术有:软组织松解,关节镜检查、滑膜切除术以及下肢截骨重新建立力线手术等,当这些措施都无法无法控制由于关节破坏引起的疼痛和残疾时,应在患者成年后考虑进行膝关节置换手术。这一手术可以减轻疼痛,减少畸形,并且大部分患者的功能状态和生活质量会得到显著改善,获取一个新的人生,但这种手术具有技术复杂性和挑战性,一定要在大的关节置换中心进行手术,提高成功率。

(编辑 韩冬野)