科室动态

您现在的位置: 首页 - 科室导航 - 骨科与运动医学中心 - 科室动态

国内首例 | 清华长庚骨科关节中心完成国内首例膝关节置换术后Felix IIB型胫骨假体周围骨折

  清华长庚医院7月12日电(通讯员 孙长鲛)北京清华长庚医院骨科完成国内首例膝关节置换术后Felix IIB型胫骨假体周围骨折。关节中心蔡谞主任主刀,历经3个小时,完美实施膝关节翻修术,患者重新开始站立行走。经检索,国内尚无此型胫骨平台假体周围骨折报道。


  近日,北京清华长庚医院骨科关节中心收治一名膝关节置换术后Felix IIB型胫骨假体周围骨折患者,由关节中心主任蔡谞教授主刀,历经3个小时,完美实施膝关节翻修术,患者重新开始站立行走。

  据了解,这是国内首例膝关节置换术后Felix IIB型胫骨假体周围骨折。

  经检索,国内尚无此型胫骨平台假体周围骨折报道。

  术前评估,确定手术方案

  这是一名老年华侨女性,19年前在加拿大行膝关节置换术,术后恢复好,无特殊不适。4个月前不慎自行摔倒致右侧膝关节肿胀、疼痛,未予特殊诊治,仍扶助行器行走,患肢不能负重。3个月前再次摔倒,在外院行X线检查提示右侧胫骨假体周围骨折,由于手术难度极大,外院建议保守治疗。后近期仍有3次摔伤史,患者抱着一线希望来我院诊治,由我科关节中心蔡谞教授主刀进行翻修手术。

  蔡谞教授对该患者进行了仔细的评估,通过平片可以看出假体柄松动严重合并有严重的骨溶解、胫骨干骺端有腔洞样或节段性骨缺损,手术难度极大。蔡谞教授将治疗目标定在维持满意的肢体力线,膝关节稳定,骨折愈合上,在上述基础上实现关节功能良好恢复。在排除了血管神经等组织损伤后,蔡主任综合考虑了假体有无松动、骨折的类型和部位、是否骨水泥固定、患者的体质与精神状况等多项因素后决定采用加长柄假体结合填充性或结构性植骨的治疗方案,同时制定备用方案以防最初制定的手术方案不能实施。同时在骨折治疗的同时,也要强调术后对骨质疏松症的治疗,以有效降低骨折延迟愈合、不愈合的风险,防止骨折的再次发生。

  

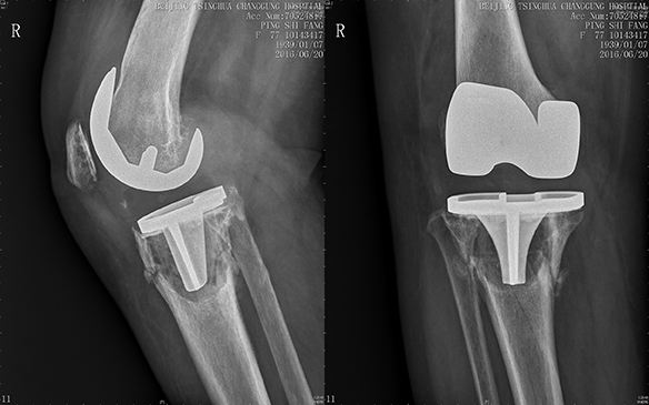
  术前平片——显示为Felix IIB型 胫骨平台假体周围骨折

  胫骨假体柄松动合并有严重的骨溶解、胫骨干骺端有腔洞样或节段性骨缺损

  三小时手术,完美收官

  手术中,蔡谞教授在保留最大骨量的同时安全的将松动的假体和衬垫取出,同时进行彻底清创,将感染的风险降到最低,在面对几乎已经完全消失的胫骨平台,蔡谞教授选择使用胫骨锥形填充块(CONE)起到支撑作用,同时在填充块内进行植骨以促进骨长入。同时在填充块和胫骨假体之间填充骨片,撑起胫骨假体。手术共进行了3个小时左右,在关节中心团队以及手术室麻醉相关科室的合作下,手术很成功。严重的骨缺损得到了良好的处理,翻修假体位置良好,患者术后第3天即可下地。

  

  图为胫骨锥形填充块内填充异体骨

  

  国内首例,极富挑战

  

  图为胫骨锥形填充块内填充异体骨

  膝关节置换术后假体周围骨折对关节外科医生是一个极富挑战的手术,文献报道膝关节假体周围骨折即使是由经验丰富的医师处理,其并发症的发生率仍高达25%-75%,而全膝关节置换后周围骨折最常见的是股骨髁上骨折,胫骨平台骨折及其罕见,像这种胫骨Felix IIB型胫骨假体周围骨折目前国内文献尚未检索到。

  对于一家开业仅1年半的新医院,国内首例Felix IIB型胫骨假体周围骨折翻修手术的顺利完成,再次体现了骨科关节中心和整个医院诊疗团队的顶尖水平和良好配合。相信我院骨科在学科带头人肖嵩华主任和关节中心主任蔡谞教授的带领下,向通往国际一流医学中心的道路上昂首前进。


专家链接:http://10.37.99.100/ksdh/wkb/gk/ysjs_gk/20453.htm

        蔡谞教授 ——北京清华长庚医院骨科关节中心主任,国内著名关节外科专家。

     对股骨头坏死、晚期风湿类风湿性关节炎、骨性关节炎、强直性脊柱炎等骨科常见病和疑难病症的诊治具有丰富的临床经验,尤专于关节外科、人工关节置换和翻修手术以及关节镜下微创手术,具有精良的手术技巧及丰富的外科经验。