中心动态

您现在的位置: 首页 - 科室导航 - 肝胆胰中心 - 中心动态

清华长庚肝胆胰中心:巨大良性肝脏肿瘤治疗有了新选择

图为患者肝右叶不规则大结节(箭头所示)肿瘤大小为99 x154x174 mm

北京清华长庚医院1月13日电(通讯员 黄鑫 编辑 周汐遥)22岁的小星,在体检中发现巨大肝脏局灶性结节性增生(Focal Nodular Hyperplasia,FNH),病变大小已达99*154*174 mm,占据了整个肝脏右叶和小部分左肝,导致小星腹胀、纳差、肝功能异常。

FNH是一种常见的良性肝脏肿瘤,其发病率在肝脏良性肿瘤中仅次于肝血管瘤,占良性肝脏肿瘤的15%左右。多数FNH患者无明显症状,通常是在体检或其他原因进行影像学检查时偶然发现,少数患者可能会出现腹部不适、腹痛或腹部肿块等症状。由于FNH是良性肿瘤,一般不会恶变并且无症状或症状轻微,所以多数患者定期随访观察即可,无需治疗,但巨大FNH通常会出现明显症状并导致肝功能异常,其治疗一直是个挑战。

经当地医院评估,小星如接受传统外科手术,切掉右半肝和左内叶,剩余肝脏体积预计不足以满足身体的代谢需要,而病变的占位效应也已经造成了门静脉和肝静脉的扭曲,大大增加了手术的风险。由于小星肝脏肿瘤的巨大尺寸和复杂的血供,射频消融治疗也无法开展。最终,小星辗转到北京清华长庚医院肝胆胰中心寻求帮助。

经多学科团队(MDT)讨论,拟定了通过钇-90(90Y)树脂微球控制病变的手术方案。为评估治疗效果和患者的安全性,经充分临床术前准备及伦理评价后,手术团队为小星先行钇-90术前评估手术,术中对全肝血管进行详细造影评估,结合最终数据,综合分析评估通过,并根据分割模型计算的处方活性,明确了实际手术的钇-90剂量。

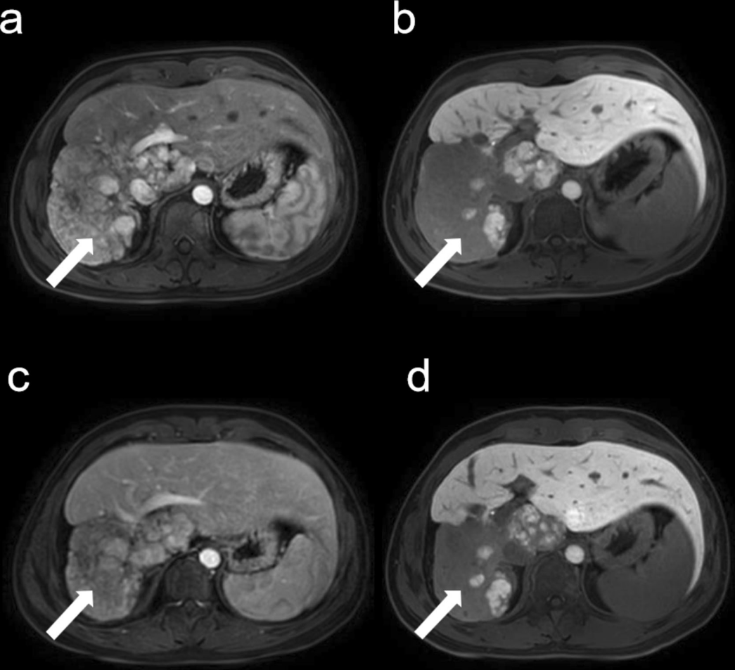
图为术后6个月,肿瘤大小85*113*124 mm,

动脉期呈低信号(a),肝胆期呈低信号(b)。SIRT后9个月,

动脉期持续呈低信号(c),肝胆期持续呈低信号(d)

小星在手术半年后,病变缩小至85×113×124毫米,且大部分病变已坏死(图a、b)。治疗后9个月的随访显示,病变的大小和强化程度进一步降低(图c)。患者上腹部饱胀及进食受限症状已缓解,体重恢复。

钇-90树脂微球为巨大肝脏良性病变的治疗提供了一种新的选择。


参考文献:

Zhang L, Feng X, Huang X, et al. Transarterial Radioembolization with Yttrium-90 Resin Microspheres for Huge Focal Nodular Hyperplasia. Cardiovasc Intervent Radiol. Published online December 23, 2024.