中心动态

您现在的位置: 首页 - 科室导航 - 肝胆胰中心 - 中心动态

清华长庚肝胆胰中心开展经桡动脉肿瘤介入术

  北京清华长庚医院4月8日电肝胆介入科 供稿)近日,清华大学附属北京清华长庚医院肝胆胰中心副主任医师张琳、主治医师黄鑫,顺利为一位肝恶性肿瘤患者行经左侧桡动脉入路的经皮肝动脉化疗栓塞术(TACE),开启了院内肝脏肿瘤介入手术的一项新入路。

   

  经左侧桡动脉入路TACE模式图

  TACE即将导管选择性插入到肝脏肿瘤供血动脉后,注入化疗药物和栓塞剂,从而起到局部化疗和阻断肿瘤血供作用。据张琳介绍,该手术传统采取经股动脉入路,此次探索经桡入路,其顺应着腹腔动脉的方向,插管更为方便,减少插管并发症,缩短手术及X线辐射时间;穿刺点并发症少,降低术中出血风险,术后压迫止血更容易,减轻护理工作量。同时,经股动脉入路介入术后,患者术后需下肢制动8小时以上,需卧床24小时,而经桡动脉入路术后可以早期下地活动,降低了腰背部疼痛、排便困难、尿潴留、压疮、深静脉血栓形成等的风险。

  “手术入路的选择需结合患者的具体情况进行临床选择。”张琳说。此次经左侧桡动脉入路的患者,2年多前被发现患有右肝多发肿瘤,在外院曾接受过多次介入、射频、靶向及免疫等综合治疗,入院后经综合评估已经达到TACE治疗的条件,但由于患者右侧腹股沟反复多次手术,皮肤与皮下组织存在瘢痕,再次经右股动脉入路,出现血管并发症风险较高。在评估后,张琳为其制订了行左侧桡动脉入路的TACE治疗,术前在心内科主任医师缪国斌的指导下,通过左手艾伦(ALLEN)试验,确认左手桡动脉与尺动脉供血情况满足手术条件。术后,患者左手的活动、感觉等都没有出现不适,复查血常规、肝肾功能等结果均为正常,术后2天出院。

   

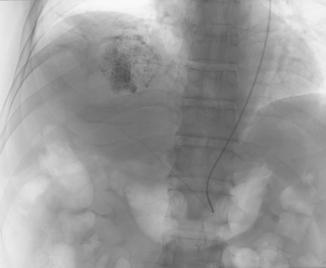
  经左侧桡动脉入路TACE术中透视图

  目前,肝胆胰中心已经顺利完成了2例经桡动脉入路介入手术,未来将继续提高技术水平,为肝胆肿瘤患者提供更高质量的介入诊疗技术,提升患者的就诊体验和生活质量。

  

  桡动脉入路TACE术后给患者去除动脉压迫器