中心动态

您现在的位置: 首页 - 科室导航 - 肝胆胰中心 - 中心动态

多学科联手攻多发肿瘤 自体小肠移植终救花季少女

媒体报道及鸣谢!

健康报:2021-10-27  第11656期 第7版

生命时报:2021-10-29 第1555期  第21版 https://www.lifetimes.cn/listread/show_detailsmsbRead.html?articleId=6178fdbe04a6159d79658117

人民日报海外版:http://m.haiwainet.cn/epaper/rmrbhwb/content_20211109_25887841.html

中国医学论坛报:2021-10-28 第4版


图为患者(左六)出院前与诊疗团队合影

  北京清华长庚医院10月20日电(通讯员 韩冬野)“没有胃口,吃不下饭。”这是20岁的梓婷(化名)到北京清华长庚医院就诊时自诉的唯一症状,而当肝胆胰外科主任医师石军拿起她的影像片子,却吃了一惊。“肿瘤位于胰腺头部,向上沿着肝十二指肠韧带直达肝门、向下蔓延到小肠/结肠系膜根部,大小不等的囊实性肿块呈串珠样融合成块,而且网膜也有散在肿块。”这也正是梓婷在当地无法手术治疗的原因。

  肿瘤复发悄然疯长

  说起梓婷生病,母亲王女士一下子追忆到15年前。“5岁的时候,给孩子穿衣服,就老能摸到右腹部鼓溜溜的。”王女士说,孩子不疼不闹,就没放在心上。12岁时,因为梓婷总是不好好吃饭,吃得太少,王女士带着女儿到医院做了全面检查,结果发现胰腺上长了肿瘤,并在当地市医院进行了肿瘤切除术。

  从2012年第一次接受手术,之后的8年时间里,梓婷偶尔出现过“肚子疼”、“低烧”等症状,“去年,我想给孩子上个保险,需要健康检查资料。”王女士说,2020年6月,梓婷的体检报告上赫然写着腹部多发肿瘤。胰腺肿瘤不知何时已卷土重来,并在梓婷的腹腔悄然疯长到15厘米长。

  四次大会诊院长终拍板

  经诊断,梓婷患的是胰腺实性假乳头状肿瘤,“这是一种低度恶性肿瘤,这种相对罕见的胰腺外分泌肿瘤对放疗和化疗都不敏感,手术是最好的治疗方式,术后5年的存活率可达95%,局部复发率≦10%,根治性切除后转移发生率约为2%,对于术后复发的患者再次手术仍可获得长期生存。”石军说。

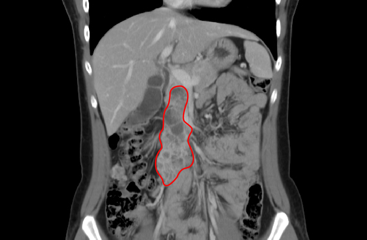
图中红圈内为肿瘤大致范围

  单从疾病诊断上,梓婷具有手术指征,但肿瘤侵袭范围过广,“肠系膜静脉主干及根部受到肿瘤包裹,属于外科手术的禁忌症。”多学科联合会诊上,胃肠外科主任李元新说。肠系膜静脉是从门静脉延续下来的,主干切除若不能重建,整个小肠会因失去血运而丧失,术后患者只能全肠外营养,靠静脉营养存活。

  放射科、肿瘤科、肝胆肿瘤科、肝胆介入科、胃肠外科、放疗科、血管外科等专科的医师反复讨论了4次,会诊意见均不明朗。“异体小肠移植是一个可以考虑的方向,技术已经相对成熟,但患者需要等待器官捐献,并面临抗排斥反应、抗感染、菌群调解等一系列问题。”李元新说。石军决定请示院长董家鸿,拿一个最终意见。“我业务专长是治疗胰腺癌,胰腺癌被称为癌中之王,那么严重的患者我们团队都在全力救治,更何况这个姑娘这么年轻,被低度恶性肿瘤终止了20岁的生命,太可惜了。”石军说。

  13小时开拓自体小肠移植新高度

  董家鸿,国际知名肝胆外科专家,从医30余年,带领团队“开别人开不了的刀,治别人治不好的病”,屡屡突破外科的禁区。2016年,董家鸿曾开创了世界首例体外肝切除,自体余肝移植联合肝上腔静脉移植重建根治终末期肝包虫病。这正是石军抱着最后一线希望请示董院长的原因——手术的关键在于依托自体小肠移植技术,但重建肠系膜静脉是现有技术无法逾越的关卡。

  董家鸿来到了病房查房,梓婷看上去和正常人一样,即便肿瘤已在腹腔里蔓延如此之深,她还未曾遭受一点痛苦,但失去这次手术机会,她面临的将是肿瘤压迫十二指肠,无法进食;压迫静脉,导致血栓、肠道梗阻、小肠坏死;广泛侵犯其它脏器,乃至腹膜后……董家鸿亲自主持多学科讨论,最终决定行胰腺肿瘤切除、胰十二指肠切除、小肠自体移植术,并将其在肝移植技术中的血管成形技术用于挑战小肠移植的禁区。

图为石军医师(中)手术场景

  麻醉科主任张欢带领团队全程护航,石军率先上台,完成肿瘤分离和探查,“术中的实际情况比术前诊断还要复杂,肿瘤已经侵犯到后腹膜的脂肪层了。”石军说。待肿瘤分离行至关键的肠系膜上静脉,石军惊喜地发现,影像资料上无法清晰呈现的血管与肿瘤结构,实际情况是肿瘤距离肠系膜上静脉根部约有1厘米,肠系膜上动脉未受侵犯,这为后续的小肠主干血管桥接打下了好基础。李元新接力上台共同完成全小肠腹部器官簇切除,并与肝胆胰外科主治医师汤睿一同,在冰浴内完成离体小肠的器官保存液灌注、肿瘤剥离等操作。

图为董家鸿带领医师在冰浴内完成移植血管重建

  手术来到了最关键的一步——移植血管重建。董家鸿主刀,李元新、汤睿配合,利用异体血管取代肠系膜上静脉主干,并与3根尚未被肿瘤侵袭的静脉属分支进行吻合,最粗的血管属支直径也未超过5毫米,董家鸿以其开创的精准外科技艺完成血管成形、重建,这段宝贵的血管就是小肠血液输送的主干道,“修整”好的自体小肠仍有3.1米,远远高于满足人体正常生活的1.5米要求,重新移植回梓婷的体内。手术历时13个小时顺利结束,术中出血量仅300毫升。

图为董家鸿院长术后查房

  术后,肝胆胰ICU团队、病区护理团队联合胃肠外科全力守护,及时施策,顺利度过了防治重建血管血栓形成、胰漏、外科感染、小肠功能恢复以及病人心理疏导等重重难关。10月11日,梓婷康复出院。“这是运用小肠移植外科技术,完成的一台具有手术禁忌、高难度的胰腺外科手术。”李元新说。母亲王女士流着泪向董家鸿及团队反复鞠躬致谢。董家鸿拍了拍女孩的肩膀说:“好好地健康生活,重新开启你的幸福生活。”(拍摄 石军 杨欣