中心动态

您现在的位置: 首页 - 科室导航 - 肝胆胰中心 - 中心动态

又双叒叕是肝癌?清华长庚用实例告诉你如何正视肝癌

  北京清华长庚医院3月8日电(通讯员 于悦超)一个月前,我们告别了因肝癌离世的音乐人赵英俊,而就在27日,香港知名喜剧演员吴孟达也因罹患肝癌不幸逝世。新闻的热度很快就会散去,“肝癌”的发病热度却从未缩减,在我国的发病率为第4位,死亡率居第二。据世卫组织2020年数据,中国肝癌的发病例数占全球45.3%,死亡例数占全球47.1%。

  肝癌早期无症状,患者感受不到疼痛,等有症状前来医院就诊时,60%以上已经处于中晚期,失去了根治手术机会。而对于医师而言,更加痛心的是有些虽然及早发现,却还是走了弯路的患者。

  那么,肝癌作为严重危害国人健康的“癌中之王”,我们对它存在着哪些常见的认知误区呢?在清华大学附属北京清华长庚医院肝胆胰外科病房里,副主任医师杨世忠给我们介绍了这样两位肝癌患者,非常具有借鉴意义。

  

  患者故事一:

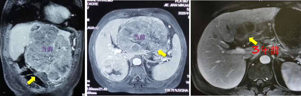
  患者刘先生72岁,有多年的酗酒史,后因常规查体,在医院被确诊为早期小肝癌。刘先生害怕手术带来的创伤和疼痛,选择保守治疗。迷信“偏方”治疗3年后,肿瘤越长越大,挤压到胃等脏器,以致刘先生连吃饭都吃不下。此时刘先生才想接受手术,但切除难度和手术风险已变得极大,多方求医均被告知无法手术。

  医疗热知识:饮酒导致“酒精肝”,最终发生肝癌的病例,目前临床上越来越常见。而如刘先生这样的患者更不在少数——查出肝癌时,尚在可手术范围内,但坚持选择保守治疗,迷信偏方,最终导致身体无法承受时才终于下定手术决心。杨世忠建议,一旦查出早期肝癌,应尽早进行手术切除等根治性治疗,这样可以取得最佳的疗效,5年生存率通常超过60%。除了手术切除,射频消融和肝移植也是早期肝癌的根治性治疗方法,可以酌情选择。

  最终,刘先生慕名来到北京清华长庚医院,经过系统全面的评估,没有发现肝脏以外的远处转移,同时剩余肝体积也能满足身体需求,因此接受了近乎生理极限的“扩大左半肝切除联合右后叶肿瘤局部切除”。术后,在医生指导下,刘先生正在进行后续的防复发治疗,目前术后半年,身体状态良好。

  杨世忠特别强调,这个患者发现肝癌后“耽误”了3年时间,没有发生远处转移和肝内的广泛扩散,属于比较少见的情况,而大多数患者是没有这样幸运的。

  

  患者故事二:

  患者曹先生42岁,患肝炎已有数年,平时不注重规范复查,乙肝治疗也时断时续。直到最近一次偶然体检中,曹先生被确诊为肝细胞癌,影像显示曹先生的肿瘤直径已达15cm,同时伴有肝静脉癌栓,属于无法手术切除的晚期肝癌。一时间,曹先生认为自己的日子“所剩无几”,情绪极度焦虑。

  医疗热知识:我国的肝癌患者80%以上都具有乙肝背景,乙肝是我国肝癌患者最主要的发病危险因素。“肝炎-肝硬化-肝癌”,这是大家所熟知的肝癌发展三部曲,肝癌的平均发病年龄在50岁左右。但是如果有饮酒史、家族肝癌病史,那么肝癌发病年龄很可能提前,目前在临床上30岁左右的肝癌患者也屡见不鲜。

  如曹先生这般,因为肝脏肿瘤发现较晚,就自暴自弃,也是错误想法。随着医疗技术的发展,近两年上市的靶向治疗和免疫治疗极大提高了肝癌的治疗效果,通过多学科联合治疗(MDT)能够为众多中晚期肝癌患者制定大幅延长生存期的科学治疗方案。针对伴有门静脉或肝静脉癌栓等不可切除的中晚期肝癌,目前正在兴起转化治疗,其目的是通过一系列针对性辅助治疗,让大肿瘤缩小或者坏死,让癌栓退缩,从而把不可切除的肝癌变为可切除,其有效率可以达到30%左右。

  针对曹先生,清华长庚医院董家鸿院士团队为其制定了“放疗+靶向治疗+免疫治疗”的前期转化治疗方案。在放疗科黎功主任的主持下,经过精准放疗,患者的肿瘤明显缩小,肝静脉癌栓也消失了。然后,肝胆外科杨世忠接手了后续的外科治疗,为患者实施了持久美兰染色引导的精准右半肝切除。目前,术后1年,患者生活状态正常。

  杨世忠介绍,清华长庚医院在董家鸿院士的率领下,建立了整合式的肝胆胰中心,涵盖肝胆外科、移植外科、肿瘤内科、肝病内科、介入科等专业,从体制上保证了肝癌患者的“一站式诊疗”,提高了诊疗效率,也避免了临床上常见的现象-肝癌患者在多个学科求医,得到多个治疗方案,以致无所适从。

  

  大病治未病,预防肝癌,杨世忠医师提出四大提醒:

  1、减少饮酒,长期大量饮酒会引起酒精性肝硬化,增加肝癌发生率;

  2、脂肪肝与肝癌的发生有一定相关性,要减少油腻食物的摄入,加强运动,减少熬夜,为肝脏营造良好的自我修复环境。

    3、要避免食用发霉食物,发霉食物中含有黄曲霉素,黄曲霉素分泌毒素与肝癌的发生有密切相关性。

  4、及时、规范的查体对肝癌的早期发现非常关键。及时,是指常规人群要每年要至少检查一次,重点人群,如有乙肝丙肝、肝病家族遗传史、血吸虫病病史、酗酒史者等,应将周期缩短为每4至6个月检查一次,检查项目包含CT、血常规、腹部超声、肿瘤标志物等;规范,是指要到正规医院、正规体检机构,请有经验的专业医生进行检查,避免误诊、漏诊。