健康教育

您现在的位置: 首页 - 科室导航 - 肝胆胰中心 - 健康教育

肝囊肿也会惹出大麻烦,体检发现肝囊肿怎么办?

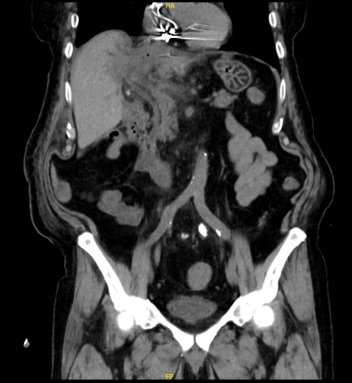
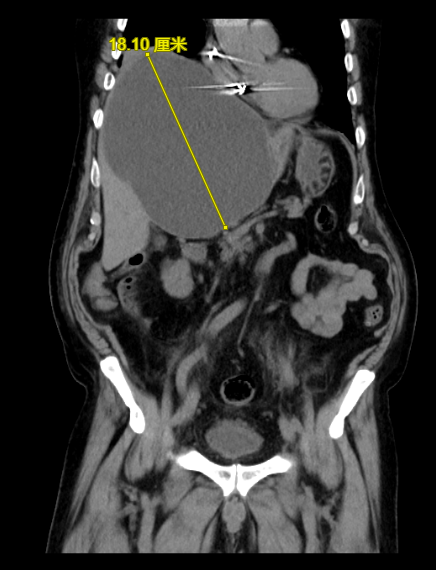
最近,一名81岁的男性患者因为“右上腹疼痛不适1周”就诊,入院查体发现皮肤、巩膜黄染,经过进一步检查,考虑腹痛原因为胆囊炎和肝巨大囊肿(图1,肝囊肿最大径18cm),巨大肝囊肿压迫肝脏内胆管,还导致了梗阻性黄疸,即皮肤、巩膜黄染。经过充分的术前评估,我们为该患者做了腹腔镜下胆囊切除和肝囊肿开窗术,术后患者的症状完全缓解,复查肝囊肿消失(图2)。体检发现肝囊肿,对于许多人来说可能是一个令人担忧的消息。然而,肝囊肿其实是一种常见的肝脏良性病变,大多数情况下并不需要过度担心,像上述患者的情况是比较少见的。本文将详细解释肝囊肿的相关知识,包括其分类、病因、症状、诊断、治疗以及预防等方面,帮助大家更好地理解和应对这一疾病。

图1

图2


一、肝囊肿的分类

肝囊肿可以分为多种类型,主要包括非寄生虫性囊肿和寄生虫性囊肿两大类。非寄生虫性囊肿又分为先天性、创伤性、炎症性和肿瘤性囊肿。其中,先天性肝囊肿是体检中发现肝囊肿最常见的原因,多为先天发育阶段肝内胆管、淋巴管异常导致,不会发展为恶性肿瘤。寄生虫性囊肿则主要是由于绦虫卵寄生在肝脏内导致,俗称“包虫病”,患者多有长期牧区生活史或城市居民有密切接触犬类动物病史。

二、肝囊肿的病因

肝囊肿的病因多种多样,先天性肝囊肿多与胚胎期发育异常有关,如肝内胆管或淋巴管发育障碍,肝内迷走胆管形成等。而获得性肝囊肿则可能有明确的病因,如炎症、创伤、肿瘤等。此外,寄生虫感染也是导致肝囊肿的一个重要原因。

三、肝囊肿的症状

肝囊肿的症状因其大小和位置而异。一般来说,小的肝囊肿通常没有明显的临床症状,也不需要特殊治疗。然而,当肝囊肿体积增大,直径超过5厘米时,可能会出现一些压迫症状,如右上腹不适、腹胀、恶心、呕吐、上腹部疼痛、腹部包块等。此外,如果肝囊肿合并出血、感染、胆瘘等情况,还可能出现更严重的症状。

四、肝囊肿的诊断

肝囊肿的诊断主要依靠影像学检查,包括B超、CT、MRI等。B超是首选的检查方法,因其敏感性高,可以初步判断囊肿的性质,如是否为单纯性囊肿、寄生虫性囊肿或肿瘤性囊肿等。对于疑似寄生虫性囊肿或肿瘤性囊肿的患者,还需要进行进一步的检查,如免疫学特异性标志物检查、CT、MRI等,以综合判断并制定治疗方案。

五、肝囊肿的治疗

肝囊肿的治疗方式取决于囊肿的大小、位置、有无症状以及患者的身体状况等因素。对于无症状的单纯性肝囊肿,一般不需要特殊治疗,只需定期复查即可。然而,对于有症状的囊肿或直径较大的囊肿,则需要采取相应的治疗措施。

手术治疗是肝囊肿的主要治疗方式之一。对于直径超过5厘米的囊肿,可以采用腹腔镜囊肿开窗术、囊肿切除术等方式进行治疗。这些手术方法具有创伤小、恢复快等优点。此外,对于某些患者,还可以选择穿刺抽液注射硬化剂的治疗方式,但这种方法容易复发,需要密切随访。

对于寄生虫性肝囊肿,治疗原则为早发现、早诊断、早治疗。手术是唯一有可能根治此类疾病的方式。根据囊肿的大小、部位、有无累及其它器官以及患者的身体状况等综合因素制定治疗方案,以达到根治性治疗的目的。

六、肝囊肿的预防

肝囊肿的预防主要依赖于对疾病的了解和重视。首先,要定期进行体检,特别是对于有肝病史或家族遗传史的人群,更应该加强监测。其次,要养成良好的生活习惯,戒烟限酒,保持心情舒畅,合理运动,以保护肝脏健康。此外,还要注意饮食卫生,避免食用可能携带病原体的食物,如未煮熟的肉类、海鲜等。同时,对于已经确诊的肝囊肿患者,要积极配合医生的治疗方案,定期复查,注意观察囊肿的变化情况。如果出现任何不适症状,应及时就医并告知医生自己的病史和用药情况。

总之,体检发现肝囊肿并不可怕。只要正确认识和对待这一疾病,积极采取预防和治疗措施,就可以有效地控制病情的发展,保护肝脏健康。希望本文能够帮助大家更好地了解肝囊肿的相关知识,为健康生活保驾护航。