健康教育

您现在的位置: 首页 - 科室导航 - 肝胆胰中心 - 健康教育

【科普】肝血管瘤什么情况下需要治疗?

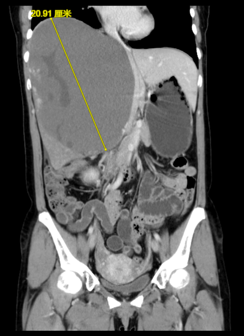
门诊经常会遇到因为体检发现肝血管瘤来咨询的朋友。最近就有一位女士因为右上腹明显胀痛一月,发现肝巨大血管瘤就诊。腹部增强CT可见血管瘤最大径达20cm(图1、2)。考虑肝巨大血管瘤伴有明显不适症状,需要行手术切除,术后患者腹部不适完全缓解。

图1:增强CT可见右肝巨大血管瘤,最大径达20cm

图2:术前影像三维重建可见右肝巨大血管瘤(褐色)

肝血管瘤是一种较为常见的肝脏良性肿瘤,由大量的动静脉血管异常构成。虽然大多数肝血管瘤体积较小,且较少引发症状,无需治疗,但少数合并临床症状的情况是需要治疗的,了解其相关知识对于维护肝脏健康依然至关重要。

一、肝血管瘤的基本概述

肝血管瘤是一种由肝内血管的异常增殖形成的良性肿瘤,具有血管瘤的结构特点。其大小和数量各异,但绝大多数体积较小,因此在日常生活中往往难以察觉。肝血管瘤的发病率约为0.4%至20%,特别在女性及接受雌激素和孕激素治疗的人群中发病率较高。

二、肝血管瘤的病因

关于肝血管瘤的病因,目前尚未完全明确。一般认为,先天性发育异常是主要原因之一。此外,女性激素水平升高、肝内毛细血管感染等因素也可能与肝血管瘤的发病有关。先天性血管发育异常通常认为起源于血管内皮细胞的异常增生,而体内雌激素、孕激素水平升高可导致肿瘤生长,这可能是女性肝血管瘤发病率较高的原因之一。

三、肝血管瘤的症状与诊断

多数肝血管瘤患者并无明显的临床症状,因此常在影像学检查中意外发现。然而,当瘤体较大或生长迅速时,可能出现一系列症状,如腹部包块、胃肠道不适(如上腹隐痛、餐后饱胀、恶心呕吐、食欲减退等)、瘤体破裂出血以及压迫相邻器官等。巨大血管瘤还可能出现疼痛和炎性反应综合征的特征,以及以消耗性凝血机能障碍为特征的Kasabach-Merritt综合征表现。

肝血管瘤的诊断主要依赖于影像学检查。B超是检查肝血管瘤的首选方法,可检出直径大于2厘米的血管瘤。此外,CT和MRI等影像学检查也具有特殊的诊断意义,能够更准确地判断瘤体的大小、位置和形态。对于个别疑难病例,还可在腹腔镜直视下进行活检以明确诊断。

四、肝血管瘤的治疗与预后

肝血管瘤的治疗方法通常依赖于瘤体的大小、生长速度以及患者的临床症状。对于无症状或症状轻微的小血管瘤患者,可以仅进行监测,定期观察瘤体的变化情况。而对于瘤体较大、生长迅速或有明显临床症状的患者,则需要进行积极的治疗。

目前,肝血管瘤的治疗方法主要包括介入治疗、微波消融治疗、射频消融手术和外科手术等。介入治疗则是通过向供应血管瘤的动脉内注入栓塞剂,阻塞血管,使瘤体缺血、萎缩。微波消融治疗和射频消融手术则是利用热量使瘤体组织发生凝固性坏死。而外科手术则是对于较大、有症状或有恶变倾向的肝血管瘤进行切除治疗。

肝血管瘤的预后通常较好。由于它是一种良性肿瘤,且生长缓慢,因此大多数患者并不需要积极治疗。然而,对于出现症状或并发症的患者,及时就医并遵医嘱选择适合的治疗方案至关重要。通过合理的治疗和管理,大多数肝血管瘤患者可以获得良好的预后。

五、肝血管瘤的预防与日常护理

虽然肝血管瘤的完全预防尚难以实现,但我们可以采取一些措施来降低其发病风险。首先,保持合理的饮食是预防肝血管瘤的重要一环。应避免暴饮暴食和高脂饮食,多摄入新鲜蔬果和富含纤维的食物。其次,定期进行体育锻炼和适度控制体重也有助于预防肝血管瘤的发生。此外,戒烟限酒、减少化学物质对肝脏的损害以及避免接触有害的化学物质和环境污染也是预防肝血管瘤的重要措施。

对于已经确诊为肝血管瘤的患者来说,日常护理同样重要。患者应遵医嘱定期进行复查和监测瘤体的变化情况。同时,保持良好的生活习惯和心态也有助于疾病的康复。综上所述,肝血管瘤是一种常见的良性肝肿瘤,虽然大多数情况下并无明显症状且不需要治疗,但了解其相关知识并采取相应的预防措施对于维护肝脏健康依然至关重要。通过合理的治疗和管理,大多数肝血管瘤患者可以获得良好的预后和生活质量。