健康教育

您现在的位置: 首页 - 科室导航 - 妇儿部 - 儿外科 - 健康教育

【科普】巨大肝母细胞瘤的“双向奔赴”

(北京清华长庚医院9月17日电 儿外科 郝献华 李龙)

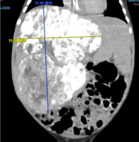
      小西宝宝留给我们的第一印象是8个月、6.3kg,瘦骨嶙峋,皮肤菲薄,腹大如鼓,腹壁浅静脉怒张,难以平卧,纳奶费力,饿得饥肠辘辘也只能吃几口奶就能停下来喘几口气。小小的身躯承载着巨大的肿瘤负荷,孩子只能依偎在妈妈的怀抱里才能得到片刻的安眠。

巨大肝母细胞瘤的 - 3.png

      小西的妈妈也给我们留下了深刻的印象,特别笃定和配合,她不会催促着赶紧手术,而是严格得执行着医嘱:努力喂养,变换着体位加强肺部物理治疗,严密得观察病情变化,她会细致得注意到,孩子每次输液开始后10余分钟会出现皮疹和低热,从而让我们及时发现输液港感染。出现导管感染后也给我们提了一个难题,是保守的抗感染,还是咬牙给孩子全麻取港?跟家长详细交代风险后,妈妈毫不犹豫得选择手术。

      小西很争气,顺利耐受取港手术。经过积极抗感染治疗后,也到了必须做出治疗抉择的时候了。

巨大肝母细胞瘤的 - 5.png

       和家长谈手术时,家长虽然非常难过,但仍然笃定得和我们站在一边,积极配合。而小西,也表现得异乎寻常的优秀。历时5个小时的手术,摘下来近1kg的肿瘤,小宝血流动力学平稳,麻醉劲过后,很快就能忽闪忽闪着大眼睛找妈妈。

      术后恢复很顺利,拔除各种引流管,恢复饮水纳奶都在计划中顺利完成了。接下来,好好养身体,以更好的状态好好耐受化疗,相信在坚强又笃定的父母支持下,坚强又可爱的小西在不久的将来就可以重获健康。

巨大肝母细胞瘤的 - 7.png巨大肝母细胞瘤的 - 8.png

巨大肝母细胞瘤的 - 9.png巨大肝母细胞瘤的 - 10.png

巨大肝母细胞瘤的 - 11.png巨大肝母细胞瘤的 - 12.png