#

科研动态

您现在的位置: 首页 - 科学研究 - 科研动态

钇90树脂微球中国经验首登国际舞台

  北京清华长庚医院4月20日电(供稿 肝胆胰外科)2023年4月12-15日,第17届亚太心血管与放射介入学会年会在韩国首尔举办,清华大学附属北京清华长庚医院钇90精准肝脏肿瘤介入放疗中心副主任医师张琳受邀做口头报告,钇90中国治疗经验首次登上国际舞台,得到国际专家的广泛认可。

  

  张琳以《钇90树脂微球选择性内放疗治疗肝脏恶性肿瘤动脉血管优化策略》为主题做专题报告,介绍了清华长庚钇90树脂微球的治疗经验。张琳指出:为了保证钇90微球治疗的疗效和安全性,介入操作需要做到两点:一是要足量微球全域覆盖所有瘤体,二要防止或减少微球异常分流至瘤体周围正常组织。清华长庚采取独特的瘤体血流优化策略,通过策略性栓塞:依据肿瘤微循环特点,选择对瘤体非主要供血血管及无法避开流向正常组织的血管进行阻断性栓塞,从而实现瘤体内血流重分布,减少瘤体周围正常组织分流,达到简化靶血管注射部位,减少微球对周围组织辐射损伤的目的,从而实现更好的治疗效果和安全性。

  

  张琳也介绍了几个典型的病例,

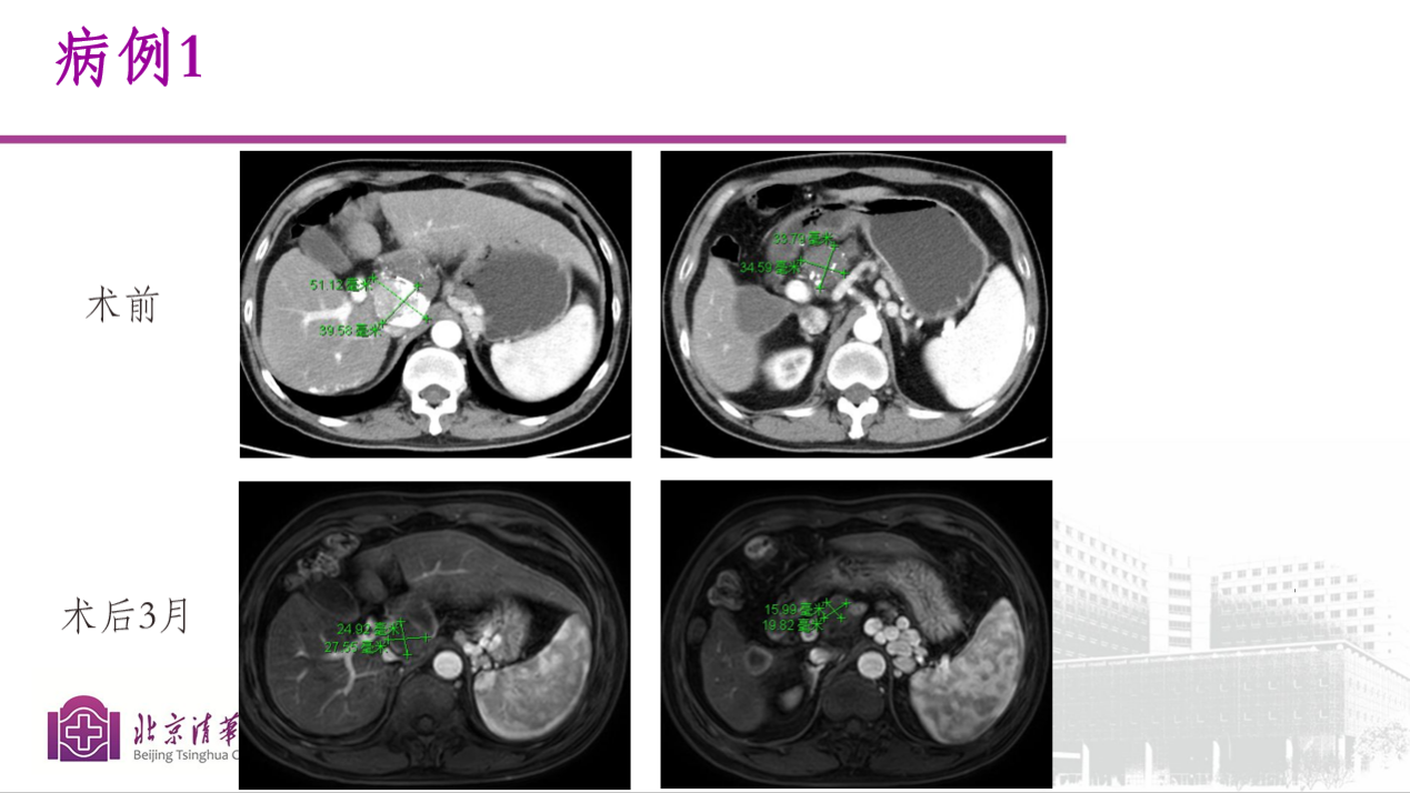
  病例一:

  53岁男性患者,肝尾状叶肝癌破裂TACE术后残留。经综合评估后,行钇90树脂微球治疗,,术中对肿瘤血管进行了优化处理策略,术后钇90微球分布良好,3个月肿瘤体积缩小接近70%

  

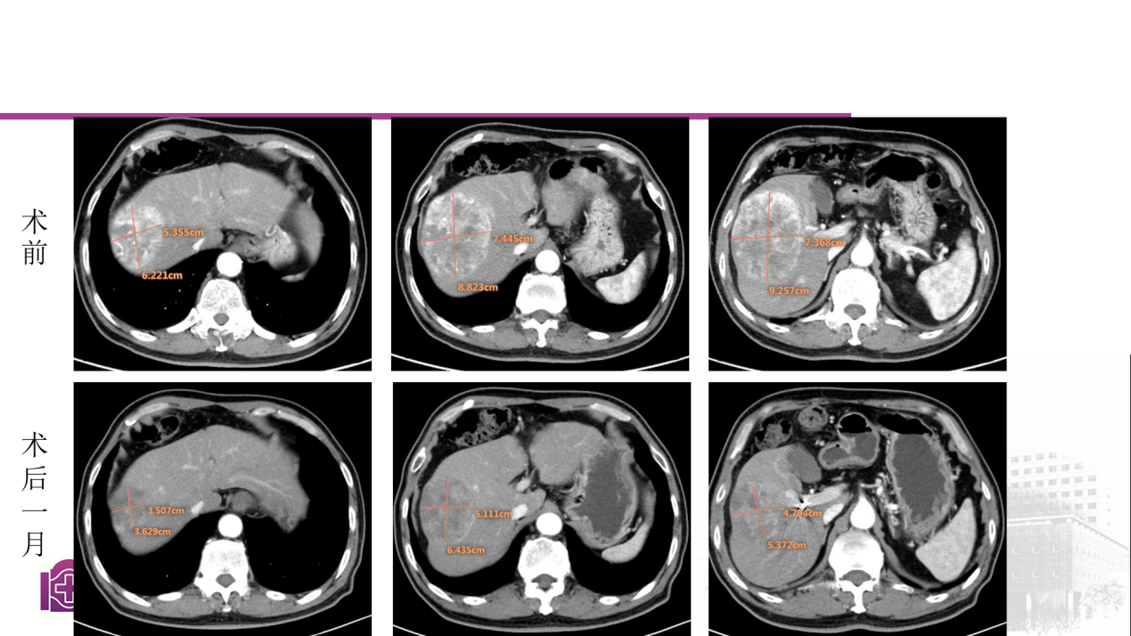
  病例二:

  60岁男性患者,诊断为HCC,肿瘤位于S5、S6、S7、S8段交汇处,既往接受靶向联合免疫等综合治疗,经综合评估后,行钇90树脂微球治疗,术中对肿瘤血管进行了优化处理策略,术后钇90微球分布良好,1个月复查,患者肿瘤体积缩小超过50%

  

  

  张琳总结,mapping或钇90治疗过程中策略性栓塞,对单发较大肿瘤安全有效,既可以达到肿瘤内血流重分布,又可以很好的保护正常肝实质,通过优化处理血管,结合钇90树脂微球与血液比重接近的特点,从而实现瘤体内微球的全面覆盖和治疗的安全性。

  随着钇90树脂微球在中国越来越多的应用,会有更多中国经验参与到国际交流中,未来,钇90树脂微球的中国经验将在全球肝脏恶性肿瘤钇90治疗中扮演着重要的角色。