病案分享

您现在的位置: 首页 - 备份栏目 - 特色疾病 - 疾病列表 - 肠功能障碍 - 病案分享

病例4 溃疡性结肠炎的手术治疗

  一、病例介绍

     男性,57岁,主因“反复粘液脓血便1年半,加重半年”于2016年12月30日入院。患者于2015年5月进未熟食物后出现粘液脓血便,每天约4-5次,伴里急后重,无发热、腹痛腹胀、咳嗽咳痰。外院肠镜提示溃疡性结肠炎,予云南白药、中药灌肠10天后症状无明显缓解,脓血便次数增多伴便不成形、糊状便。2015年6月就诊上级医院,给予美沙拉嗪 1g tid、灌肠液 60ml/qd、甲泼尼龙12片qd治疗53天后,症状好转出院。3个月后患者再次出现脓血便,自行将甲泼尼龙减至6片qd并停用口服及灌肠的美沙拉嗪制剂。2015年11月患者就诊北京一家医院,复查肠镜提示溃疡性结肠炎(直乙型),给予美沙拉嗪 1g qid、灌肠液 60ml/qd治疗,期间甲泼松龙逐渐减量,并于2016年5月减停。治疗3月后患者粘液脓血便无明显好转,每天仍有6-7次,遂再次自行停用美沙拉嗪,并就诊当地中医医院进行口服中药治疗。2016年7月患者脓血便次数增加至每天约30余次,肠镜提示患者为中度、活动期、全结肠型溃疡性结肠炎,给予醋酸泼尼松龙 4片qd、环孢素胶囊 275mg qd治疗,患者病情反复、间断腹痛、便血。治疗2月后,患者突然出现发热,max38oC,伴每天水样泻30余次,外院给予类克治疗一次后病情无明显好转,遂就诊我院门诊。

  二、疑难问题

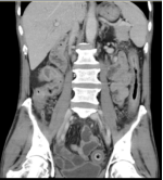
  该患者入院时溃疡性结肠炎诊断明确,查血提示WBC16000/ml、HGB130g/L 、CRP29mg/L、ESR44mm/h、TP61g/L、ALB27g/L、pre-ALB120g/L。查ANA、ANCA、结核、EB、CMV(-)。肠镜提示患者全结肠粘膜连续性病变、弥漫性溃疡、粘膜充血水肿并覆白色脓液,结肠袋消失。CT提示全结肠弥漫性水肿、增厚,肠管僵硬。分析该患者溃疡性结肠反复发作、逐渐加重,并且应用美沙拉嗪、激素、免疫抑制剂及单抗治疗效果不佳,所以有全结肠切除的指征。但患者近3月内应用过类克及激素治疗,此时进行手术,势必会出现术后吻合口瘘、腹腔感染等严重并发症。

  三、特色方案及治疗过程

  经过3周的肠外营养支持治疗,患者生命体征平稳,复查血指标恢复至大致正常范围内,我科为其进行了腹腔镜下全结肠切除、回肠储袋肛门吻合(ileal pouch-anal anastomosis-IPAA)、近端回肠造口手术。

  肠镜下肠粘膜表现    CT提示结肠肠管弥漫性病变   切除的结肠标本

  手术切除的范围     末端回肠折叠制作储袋、进行肛管储袋吻合

   

  四、疗效

  术后患者恢复平稳,逐渐恢复饮食, 2周后痊愈出院。出院后经过10个月的恢复,患者体重逐渐由末次入院的48kg增加至63kg,复查血液指标及炎性指标未见明显异常,复查肠镜见吻合口轻度糜烂。我科在2017年11月为其进行了回肠造口还纳手术。至此完成了患者的溃疡性结肠炎的全部手术治疗。

  造口还纳前腹部情况    手术后患者腹部情况