科室动态

您现在的位置: 首页 - 备份栏目 - 肝胆介入科 - 科室动态

北京清华长庚医院创新介入手段 精准治疗门静脉高压

图为北京清华长庚医院肝胆介入科医师手术中

  北京清华长庚医院7月11日电 门静脉高压是一组由门静脉压力持久增高引起的症候群,大多数由肝硬化引起,当门静脉血不能顺利通过肝脏回流入下腔静脉就会引起门静脉压力增高,表现为食管胃底静脉曲张、脾脏肿大和脾功能亢进、肝功能失代偿和腹水,特别是食管胃底静脉曲张破裂出血,严重者可危及生命。

  针对门静脉高压的治疗有多种方式,但目前国内的术前诊断精准化仍有待提升,这不仅能提高治疗效果,更能减小患者的创伤,避免并发症,提高诊疗效益。

  肝静脉压力梯度(Hepatic venous pressure gradient,HVPG)测定是目前国际公认的评估门静脉高压的金标准,是评估肝硬化发展程度和患者预后的重要指标,并可用于评价药物降低门静脉压力效果,根据 HVPG 数值大小可指导选择个体化治疗方案,在门静脉高压临床实践中具有重要意义。

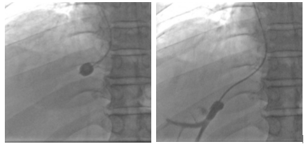
  目前测量HVPG的理想方法是通过颈内静脉利用球囊法分别测量肝静脉自由压和肝静脉楔压,两者差值即为HVPG。近期,北京清华长庚医院肝胆介入科张琳副主任医师和黄鑫医师利用上述方法成功为一名肝硬化患者测得HVPG,并指导其后续治疗。该患者有药物性肝硬化病史10年,半月前因上消化道出血在外院行内镜检查,证实为食管胃底静脉曲张破裂出血,并同时行硬化治疗,术后未再出血。为了解下一步治疗,到北京清华长庚医院就诊。根据门静脉高压诊疗的国际标准,肝胆介入科为该患者施行了HVPG检测技术,检测结果为18.5mmHg。该检测结果,为确认患者后续的治疗方案,提供了精准依据。

HVPG精确测量

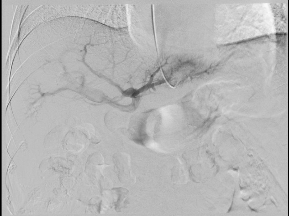
  门静脉海绵样变是指肝门部或肝内门静脉分支慢性、部分性或完全性阻塞后,导致门静脉血流受阻,引起门静脉压力增高,同时在门静脉周围形成侧支循环。针对该病,中国工程院院士、北京清华长庚医院执行院长董家鸿开展的Meso-Rex术为目前最前沿的外科治愈性技术,术前精确肝内门静脉评估是手术治疗的前提。传统的方式是直接经皮经肝穿刺行门静脉造影术,失败率较高,对肝脏有一定损伤,容易出现腹腔出血、包膜下出血、胆漏、肝动脉假性动脉瘤等相关并发症。张琳副主任医师和黄鑫医师联手,在国内率先开展了经肝静脉楔入门静脉造影术,利用肝小叶内肝静脉与门静脉互通的原理,实现完整显示肝内门静脉分支及走行,为实施Meso-Rex术提供充分依据。张琳表示,肝胆介入科医师实施经肝静脉楔入门静脉造影术,需全面了解肝静脉结构、走行,门静脉病变范围、特点,关键在于选择恰当的楔入肝静脉分支及部位。

门静脉海绵样变患者经肝静脉楔入门静脉造影,门静脉分支显示良好

  目前,我院肝胆胰中心已参与中国门脉高压诊断与监测研究组(CHESS)牵头的系列多中心前瞻性临床研究,同时协助CHESS研究组正在制定我国《肝静脉压力梯度诊断和监测肝硬化门静脉高压专家共识》,共同努力做好我国门静脉高压患者的标准化检测和规范化治疗!

(肝胆介入科供稿,编辑 韩冬野)